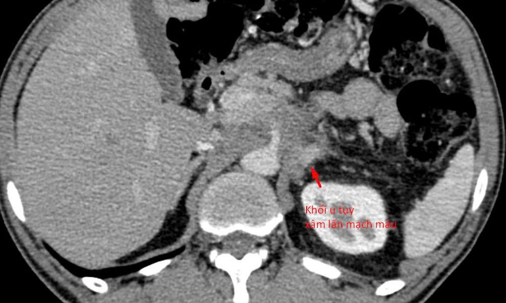
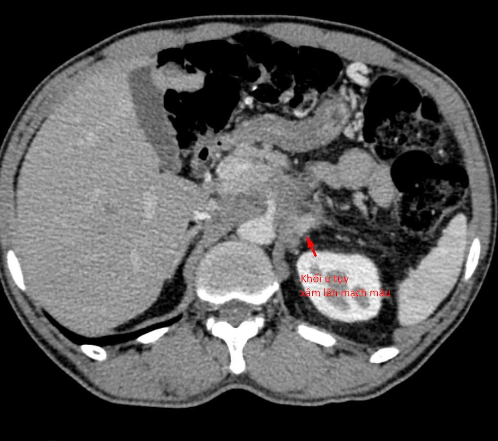
Bệnh nhân 64 tuổi (tại Hà Nội) có khối u tụy xâm lấn mạch máu được chẩn đoán tại nhiều bệnh viện khác nhau. Tuy nhiên, do khối u nằm ở vị trí đặc biệt phức tạp, áp sát nhiều cấu trúc nguy hiểm, các bác sĩ chưa thể tiến hành sinh thiết để xác định mô bệnh học – bước then chốt quyết định hướng điều trị ung thư.
Không có chẩn đoán mô bệnh học đồng nghĩa với việc bệnh nhân gần như không thể tiếp cận các phác đồ điều trị chuẩn mực. Trong tâm trạng tuyệt vọng, người đàn ông này đã tìm đến các hình thức cầu cúng, đồng thời tự ý áp dụng phương pháp tuyệt thực kéo dài với niềm tin sai lầm rằng việc “bỏ đói” cơ thể sẽ khiến khối u teo lại.
Thực tế lại hoàn toàn ngược lại. Sau 3 tuần (21 ngày) không ăn uống đầy đủ, khối u vẫn còn nguyên, trong khi thể trạng bệnh nhân suy sụp nhanh chóng, cân nặng giảm 14kg, sức đề kháng suy giảm, nguy cơ biến chứng gia tăng. Bệnh nhân tới viện trong tình trạng suy kiệt chỉ còn 45kg.
ThS. BSNT Trần Văn Giang – Phó Giám đốc Trung tâm Chẩn đoán hình ảnh và Điện quang can thiệp Quốc tế Phương Đông - cho biết bệnh nhân nhập viện trong tình trạng suy kiệt tiềm ẩn nhiều rủi ro sức khỏe.
Sau khi tiếp nhận bệnh nhân, các bác sĩ đã tiến hành đánh giá lại toàn bộ cấu trúc giải phẫu và đường tiếp cận khối u. Hầu hết các hướng sinh thiết thông thường đều không khả thi do nguy cơ tổn thương mạch máu lớn và các tạng quan trọng.
“Chúng tôi chỉ còn một ‘khe cửa hẹp’ duy nhất: tiếp cận từ phía sau, xuyên qua khoảng giữa cột sống và thận. Đây là đường vào rất khó, rủi ro cao và đòi hỏi kỹ thuật can thiệp cực kỳ tinh vi”, bác sĩ Giang chia sẻ.
Dù vậy, nếu không xác định được mô bệnh học, bệnh nhân gần như không còn cơ hội điều trị. Trước tình thế đó, ê-kíp bác sĩ quyết định thực hiện thủ thuật sinh thiết với sự hỗ trợ của hệ thống chẩn đoán hình ảnh công nghệ cao.
Dưới hướng dẫn của CT đa dãy độ phân giải cao, mũi kim sinh thiết được đưa chính xác qua khe an toàn duy nhất, tiếp cận khối u và lấy mẫu bệnh phẩm thành công. Thủ thuật diễn ra an toàn, không ghi nhận biến chứng, mẫu mô đạt yêu cầu để phục vụ chẩn đoán.
Bệnh nhân được chẩn đoán là Ung thư biểu mô tuyến tuỵ xâm nhập thần kinh. Dù bệnh đã ở giai đoạn muộn, nhưng việc xác định được mô bệnh học vẫn mở ra cơ hội điều trị, thay vì buông xuôi trong vô vọng. Đây được xem là bước ngoặt quan trọng, mang lại hy vọng cho bệnh nhân và gia đình.
Qua trường hợp của bệnh nhân trên, bác sĩ cảnh báo khẩn bệnh nhân ung thư tuyệt đối không nên áp dụng những phương pháp thiếu cơ sở khoa học như tuyệt thực, nhịn ăn kéo dài. Việc này không chỉ không tiêu diệt được tế bào ung thư mà còn khiến cơ thể suy kiệt, giảm khả năng đáp ứng điều trị và làm bệnh tiến triển nặng hơn.
Điều trị ung thư cần tuân thủ phác đồ y khoa, kết hợp dinh dưỡng hợp lý, chăm sóc toàn diện và theo dõi chặt chẽ. Bệnh nhân nên tìm đến các cơ sở y tế chuyên sâu, không nên tự ý thử các phương pháp truyền miệng, gây hậu quả đáng tiếc.
Ngọc Minh
