Trước khi đi khám một ngày, anh P.Đ.H (22 tuổi, tại Hà Nội) đột ngột bị đau âm ỉ vùng cổ chân, cơn đau tăng dần, đặc biệt về đêm và khi vận động. Dù đã tự uống thuốc giảm đau nhưng anh không đỡ. Vì lo lắng nên gia đình đã khuyên anh H đi khám để tìm nguyên nhân.
Qua khai thác bệnh sử, anh H cho biết từng có 1–2 lần bị sưng đau khớp cổ chân. Những lần như vậy, anh H thường uống thuốc giảm đau là hết. Trước đó, khi đi khám sức khoẻ định kỳ, anh H đã từng ghi nhận tăng acid uric máu nhưng chưa điều trị. Gia đình không có ai mắc bệnh lý tương tự.
Khi khám lâm sàng, chỉ số sinh tồn của bệnh nhân bình thường, tuy nhiên thể trạng thừa cân rõ rệt với BMI lên tới 35,01 (béo phì độ II). Khám cơ xương khớp ghi nhận: khớp cổ chân trái sưng, nóng, đỏ, đau, hạn chế vận động cả chủ động và thụ động; các khớp khác chưa phát hiện bất thường.
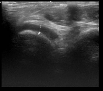
Từ triệu chứng lâm sàng, bệnh nhân được chẩn đoán sơ bộ: theo dõi gút cấp/béo phì độ II và được chỉ định thực hiện xét nghiệm máu, chẩn đoán hình ảnh chuyên sâu. Kết quả xét nghiệm cho thấy anh H có chỉ số acid uric máu tăng cao; rối loạn chuyển hóa lipid máu (tăng cholesterol và triglycerid); siêu âm khớp cổ chân trái có tràn dịch khớp; siêu âm ổ bụng cho thấy gan nhiễm mỡ độ II; có polyp túi mật.
Anh H được chẩn đoán mắc đồng thời 5 bất thường về sức khoẻ: gút cấp, béo phì, rối loạn lipid máu, gan nhiễm mỡ độ II, polyp túi mật.
Được biết, anh H có thói quen ăn nhiều thịt, đặc biệt là các loại thịt đỏ. Tuy nhiên, anh H lại ít vận động. Đây chính là nguyên nhân khiến anh H không thể kiểm soát được cân nặng, sinh ra những bất thường về rối loạn chuyển hoá trong cơ thể.
Cảnh báo gút đang trẻ hóa
Hiện nay, với chế độ ăn thiếu tiết chế, ít vận động, người trẻ bị mắc bệnh gút sớm hơn. Nếu như trước kia, gút thường gặp ở tuổi già thì nay nhiều người 20 tuổi đã mắc bệnh. Trường hợp của anh H là một trong những điển hình tiêu biểu.
Anh H được bác sĩ kê đơn thuốc điều trị, tư vấn nghỉ ngơi, chườm mát và thay đổi chế độ ăn uống. Cụ thể, anh H sẽ cần hạn chế các loại thịt đỏ (bò, trâu), nội tạng động vật, hải sản, rượu bia; tăng uống nước, ăn nhiều rau xanh và hoa quả, duy trì tập thể dục nhẹ nhàng đều đặn.
ThS.BSCKII Trịnh Thị Nga, Trưởng chuyên khoa Cơ xương khớp, Hệ thống Y tế Medlatec, cho biết gút là bệnh lý rối loạn chuyển hóa acid uric, gây lắng đọng tinh thể urat tại khớp, dẫn tới viêm khớp cấp tính. Nếu không điều trị sớm, bệnh có thể gây biến dạng chi, tổn thương thận và giảm chất lượng sống.
“Trước đây, gút thường gặp ở người trung niên, nhưng hiện nay đang có xu hướng trẻ hóa rõ rệt do thói quen ăn uống giàu đạm, uống bia rượu thường xuyên, lười vận động, và tình trạng thừa cân ngày càng phổ biến trong giới trẻ”, bác sĩ Nga cảnh báo.
Theo bác sĩ Nga, để kiểm soát và phòng ngừa bệnh, người trẻ cần duy trì cân nặng hợp lý; hạn chế thịt đỏ, nội tạng, hải sản; tránh tuyệt đối bia rượu; uống đủ nước (2–3 lít/ngày); tập luyện thể chất thường xuyên. Với những người nghi nhờ mắc bệnh cần đi khám sớm để loại trừ các nguy cơ.
Ngọc Minh
