Bệnh nhi được chuyển tới Bệnh viện Bạch Mai trong tình trạng nguy kịch. Theo gia đình bệnh nhi, 6 ngày trước nhập viện, bệnh nhi chơi đá bóng ở sân bùn đất bẩn gần nhà. Sau đó, bệnh nhi sốt cao 41 độ C; nổi mụn nước nhỏ có dịch trong ở lưng, bụng và 2 bên tay, chân. Gia đình nghĩ trẻ bị thủy đậu, tự mua thuốc về bôi nốt mụn nước nhưng không đỡ.
Sau đó, trẻ sốt dày hơn, 3-4 tiếng/cơn, mụn nước chuyển mụn mủ trắng. Ngày 11/10, gia đình đưa trẻ đến Bệnh viện Đa khoa tỉnh Tuyên Quang khám. Trẻ được chẩn đoán thủy đậu bội nhiễm - nhiễm khuẩn huyết, điều trị 3 ngày bằng kháng sinh kết hợp nhưng tình trạng không cải thiện. Trẻ vẫn sốt cao, các nốt phỏng bắt đầu xuất hiện tình trạng loét da, có mủ phía dưới rải rác ở lưng, đầu nên được chuyển đến Bệnh viện Bệnh nhiệt đới Trung ương và sau đó được chuyển tới Trung tâm Nhi khoa - Bệnh viện Bạch Mai. Lúc này, trẻ khó thở nhiều, đau ngực, nhịp tim nhanh, sốt cao liên tục 39-40 độ C.

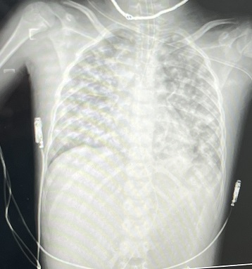
Phim chụp phổi bệnh nhân trắng xoá thời điểm mới vào viện (Ảnh: BVCC)
Bác sĩ Nguyễn Hữu Hiếu - Trung tâm Nhi khoa, Bệnh viện Bạch Mai cho biết, ngay khi nhập viện, bệnh nhi được đặt máy thở không xâm nhập, đặt ống nội khí quản và thở máy, tuy nhiên bệnh nhi bị xuất huyết phổi nhiều, phổi chụp lên mờ lan tỏa 2 bên trường phổi. Bệnh nhi rơi vào tình trạng suy hô hấp, sốc nhiễm khuẩn nặng, mạch nhanh, huyết áp tụt...
Bệnh nhi diễn biến nặng, xuất huyết phổi liên tục, kháng với các thuốc vận mạch, phải sử dụng phối hợp 3 loại kháng sinh và dùng các thuốc vận mạch liều rất cao. Các vết loét nhiều lên, xuất hiện nhiều nốt mới, nguy cơ tử vong cao, sốc nhiễm khuẩn rất nặng và gần như kháng với các phương pháp điều trị thông thường.
Bệnh nhi được chỉ định dùng kết hợp các loại kháng sinh mạnh, kết hợp truyền Acyclovir và IVIG (một loại thuốc quý trong điều trị nhiễm khuẩn nặng). Ngay trong đêm, bệnh nhi được truyền Abumin và IVIG, tuy nhiên tình trạng oxy máu không cải thiện. Sau hơn một ngày kết hợp nhiều loại thuốc khác nhau và thở máy thông số cao, bệnh nhi cũng không đáp ứng nhiều, vẫn trong tình trạng sốc rất nặng, bão hòa oxy trong máu vẫn giảm nặng. Trước tình thế tiên lượng bệnh nhi nguy kịch, các bác sĩ đã quyết định lọc máu liên tục cho bệnh nhi.
Kết quả cấy máu phát hiện ra một vi khuẩn rất hiếm gặp, có tên khoa học là Chromobacterium violaceum, một trực khuẩn Gram âm, hiếm khí. Theo các báo cáo trong y văn, vi khuẩn này thường gây tiêu hủy xương và ăn vào các tổ chức của cơ và da gây hoại tử khó hồi phục.
Sau 3 ngày được điều trị liên tục, bệnh nhi đã có tiến triển đáng kể, giảm sốt, các chỉ số viêm và huyết động tiến triển nhiều. Bệnh nhi được cắt bớt vận mạch sau 5 ngày và cai máy thở sau 1 tuần, chuyển thở oxy.
Sau 2 tuần điều trị, bệnh nhi đã có tiến triển rất tốt, tự thở, tiếp xúc tốt, không có di chứng nào về não hay các cơ quan khác. Hiện bệnh nhi vẫn đang tiếp tục được điều trị kháng sinh và cấy máu lại để hạ bậc kháng sinh. Sau 3 tuần điều trị, bệnh nhi có tiến triển tốt hơn và đang được phục hồi chức năng thêm về hô hấp và vận động, dự kiến ra viện trong vài ngày tới.
TS.BS Nguyễn Thành Nam - Giám đốc Trung tâm Nhi khoa, Bệnh viện Bạch Mai cho biết, bệnh nhi bị sốc nhiễm khuẩn, viêm phổi nặng, ARDS (hội chứng suy hô hấp cấp tiến triển) do vi khuẩn hiếm có mặt trong bùn đất, tưởng không qua được. Các bác sĩ đã quyết định cho bệnh nhi thở máy, lọc máu liên tục và kết quả cấy máu tìm ra vi khuẩn Chromobacterium violaceum là bước ngoặt quyết định thành công của ca bệnh này.
Qua đây, các bác sĩ khuyến cáo, Chromobacterium violaceum là loại vi khuẩn hiếm gặp có ở bùn đất. Do đó, khi cho con trẻ chơi ở nơi bẩn, bùn đất thì cần giữ vệ sinh cho trẻ, tránh để trẻ bị xây xát, trầy xước vì đây là cơ hội để các vi khuẩn gây bội nhiễm, đặc biệt ở nơi tổn thương qua da và niêm mạc của trẻ.
Ngọc Minh
