Với người cao tuổi, việc rời khỏi giường sau khi thức dậy vào buổi sáng nhưng không mặc ấm hoặc làm ấm cơ thể, nguy cơ đột quỵ sẽ càng cao hơn nữa.
Trên thực tế, những trường hợp người cao tuổi bị đột quỵ vào lúc sáng sớm là không hề hiếm gặp. Điển hình là trường hợp bệnh nhân Đ.T.C. (75 tuổi, Hà Nội). Bệnh nhân có thức dậy vào khoảng 2 giờ sáng để đi vệ sinh. Sau đó, bệnh nhân bất ngờ xuất hiện đau đầu dữ dội, chóng mặt, buồn nôn, méo miệng, nói khó và tê bì yếu nửa người trái. Bệnh nhân được gia đình đưa đi cấp cứu.
Qua điều tra bệnh sử, bác sĩ được biết bệnh nhân C có tiền sử tăng huyết áp nhưng không dùng thuốc đều đặn. Khoảng 10 ngày trước khi cơn đột quỵ xảy ra, bà từng đi khám tại một cơ sở y tế vì đau đầu và chóng mặt và được chẩn đoán theo dõi cơn thiếu máu não, tăng huyết áp nhưng chưa được kê đơn điều trị.
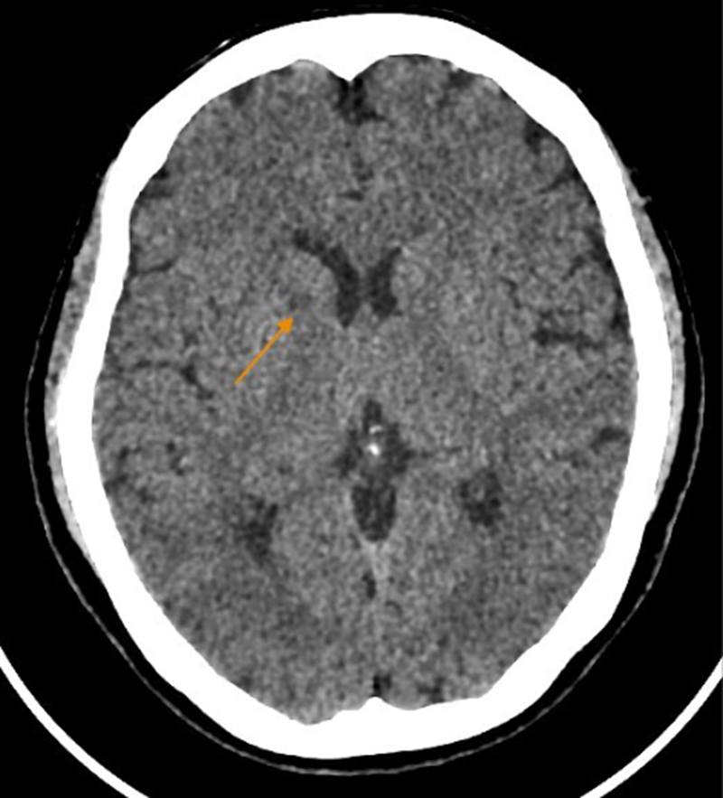
Khi sự việc xảy ra, kết quả thăm khám cho thấy bệnh nhân huyết áp tăng 150/90 mmHg, cơ lực nửa người trái giảm rõ, nếp mũi má mờ, méo miệng, phản xạ gân xương giảm. Chụp cắt lớp vi tính sọ não ghi nhận xơ vữa vôi hóa động mạch cảnh trong hai bên đoạn xoang hang và động mạch đốt sống. X-quang tim – phổi cho thấy cung động mạch chủ giãn nhẹ kèm vôi hóa. Siêu âm Doppler mạch cảnh phát hiện mảng xơ vữa vôi hóa tại xoang cảnh trái; siêu âm tim cho thấy hở nhẹ van động mạch chủ.
Bệnh nhân được chẩn đoán đột quỵ nhồi máu não giờ thứ 9, tăng huyết áp và được chuyển tuyến điều trị chuyên khoa.
Mùa lạnh - thời điểm nguy cơ đột quỵ tăng cao
BSCKI. Hoàng Minh Toại, Chuyên khoa Hồi sức cấp cứu, Phòng khám Medlatec Thanh Xuân (Hà Nội) là người trực tiếp tiếp nhận bệnh nhân trên. Bác sĩ Toại cho hay, đột quỵ xảy ra khi dòng máu cung cấp oxy cho não bị gián đoạn do tắc nghẽn hoặc vỡ mạch. Bệnh gồm hai loại: đột quỵ do xuất huyết và đột quỵ do thiếu máu cục bộ.
Dù có thể xảy ra quanh năm, số ca đột quỵ thường tăng cao vào mùa đông. Lý do bởi:
- Trời lạnh khiến mạch máu co lại, tăng huyết áp và nguy cơ vỡ mạch máu não.
- Nhiệt độ thấp làm tăng đông máu, giảm khả năng tiêu hủy huyết khối, dễ gây tắc nghẽn mạch máu.
- Nồng độ hormone catecholamine tăng trong mùa lạnh, khiến nhịp tim và huyết áp tăng, làm tăng nguy cơ đột quỵ.
- Người có bệnh tim mạch phải chịu gánh nặng tuần hoàn lớn hơn khi trời lạnh, dễ khởi phát tai biến.
- Thói quen ăn nhiều chất béo, ít vận động vào mùa đông làm tăng béo phì, tăng huyết áp, rối loạn mỡ máu – những yếu tố trực tiếp dẫn đến đột quỵ.
Bác sĩ Toại khuyến cáo, đột quỵ có thể xảy ra ở bất kỳ độ tuổi nào nhưng nguy cơ cao hơn ở người trên 60 tuổi; người mắc bệnh tim mạch, tăng huyết áp, đái tháo đường; người béo phì, ít vận động; hút thuốc lá; uống rượu bia nhiều; và phụ nữ sau mãn kinh hoặc đang mang thai.
Hậu quả nặng nề nhất của đột quỵ là tử vong. Những trường hợp sống sót vẫn có thể chịu di chứng lâu dài như liệt nửa người, rối loạn ngôn ngữ, giảm cảm giác, khó vận động dẫn đến viêm phổi, huyết khối tĩnh mạch hoặc trầm cảm.
Nhận biết sớm và cấp cứu kịp thời
Bác sĩ Toại nhấn mạnh: “Ở bệnh nhân đột quỵ, mỗi phút trôi qua có tới 2 triệu tế bào thần kinh bị chết vĩnh viễn nếu não không được cung cấp máu”. Vì vậy, người bệnh cần được đưa tới bệnh viện sớm tính từ thời điểm khởi phát. Từ 3–4,5 giờ là thời gian vàng để can thiệp tái thông mạch máu. Sau đó, nguy cơ tử vong và tàn phế tăng mạnh.
Người dân cần ghi nhớ dấu hiệu nhận biết đột quỵ theo quy tắc B.E.F.A.S.T:
- B – Balance: Mất thăng bằng, đau đầu, chóng mặt.
- E – Eyesight: Mất thị lực một phần hoặc toàn bộ, nhìn mờ đột ngột.
- F – Face: Mặt méo, nhân trung lệch, cười không đều.
- A – Arm: Yếu tay hoặc chân một bên.
- S – Speech: Nói khó, nói ngọng, mất khả năng nói.
- T – Time: Gọi ngay 115 và đưa đến cơ sở y tế gần nhất khi xuất hiện các dấu hiệu trên.
Để phòng ngừa đột quỵ vào mùa lạnh bác sĩ Toại lưu ý mọi người cần giữ ấm cơ thể, tránh thay đổi nhiệt độ đột ngột khi từ phòng ấm ra ngoài trời. Đặc biệt khi ngủ dậy từ chăn ấm đi ra ngoài phải đảm bảo cơ thể đã được ấm mới bước xuống giường.
Ngoài ra, mọi người nên:
- Ăn uống lành mạnh: tăng cường rau, trái cây, ngũ cốc, cá; hạn chế đồ nhiều muối, đường, mỡ bão hòa.
- Tập thể dục đều đặn để giảm nguy cơ bệnh tim mạch và béo phì.
- Bỏ thuốc lá, hạn chế rượu bia.
- Quản lý căng thẳng, ngủ đủ giấc, giữ tinh thần thoải mái.
- Khám sức khỏe định kỳ để phát hiện sớm các yếu tố nguy cơ như tăng huyết áp, rối loạn lipid máu, tiểu đường.
Ngọc Minh
