Ngày 19/12, VietNamNet dẫn lời bác sĩ Nguyễn Văn Lâm, Khoa Ngoại tổng hợp, Bệnh viện Đa khoa Đức Giang (Hà Nội), cho hay Bệnh nhân là ông N.V.K, 67 tuổi ở Gia Lâm, Hà Nội, có tiền sử nghiện thuốc lá, thuốc lào 40 năm nay.
Ông vào viện trong tình trạng đau ngực bên phải, khó thở nhiều. Kết quả chụp X-quang tim phổi cho thấy bị tràn khí màng phổi phải nhiều, được đặt dẫn lưu khí bằng catheter.
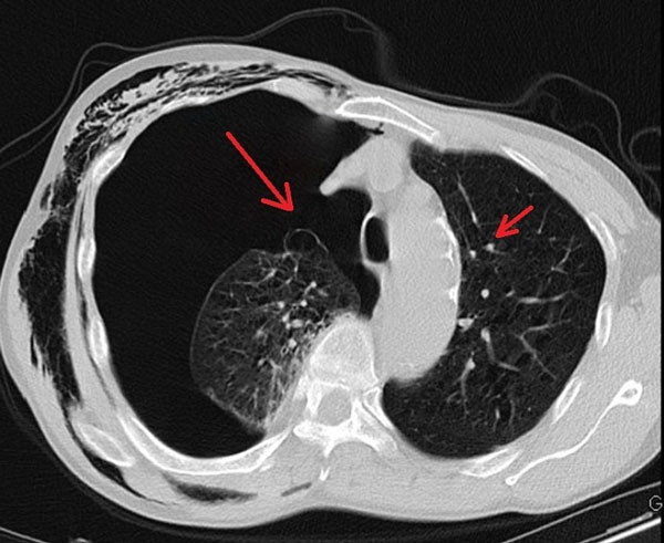
Sau hai ngày điều trị tại khoa Ngoại tổng hợp, tình trạng của ông K. không cải thiện, các bác sĩ chỉ định chụp CT ngực, phát hiện có nhiều kén khí rải rác ở hai bên đỉnh phổi và đáy phổi phải.
Các bác sĩ nhận định đây là trường hợp tràn khí màng phổi do vỡ kén khí, cần phẫu thuật nội soi. Điều này giúp bệnh nhân cải thiện chức năng hô hấp, vận động; tránh các nguy cơ khó thở kéo dài, tràn dịch màng phổi, áp-xe phổi, viêm mủ màng phổi.
Sau 3 ngày nội soi cắt toàn bộ các kén khí và khâu phục hồi lại nhu mô phổi, bệnh nhân ổn định, phục hồi tốt, phổi giãn nở tốt, có thể vận động nhẹ nhàng, đi lại bình thường.
Trao đổi với Dân Trí, BS Lâm cho biết thêm: "Kén khí ở phổi là tình trạng đặc trưng bởi sự căng giãn thường xuyên của đường dẫn khí từ tiểu phế quản tận cùng trở xuống, kèm theo có sự phá hủy vách các phế nang không phục hồi.
Kén khí phổi xảy ra cục bộ tại vùng của phổi, có thể một hoặc nhiều kén tập trung ở thùy trên nhiều hơn thùy dưới, thường kết hợp với viêm phế quản mãn tính, giãn phế nang khu trú, lao, hoặc bội nhiễm gây áp xe phổi…".
Bệnh làm tăng khoảng chết sinh lý và gây chèn ép tổ chức phổi lành xung quanh. Nếu không phát hiện, phẫu thuật kịp thời sẽ gây xẹp cả phổi ở bên mọc kén, đẩy trung thất ép cả phổi bên đối diện, đưa đến hậu quả là suy hô hấp rất nặng nề. Thậm chí nếu tăng áp lực trong đường thở bệnh nhân, kén khí có thể vỡ gây tràn khí màng phổi dẫn tử vong.
BS Lâm khuyến cáo, đối với những bệnh nhân có những yếu tố nguy cơ do hút thuốc lá thuốc lào nhiều năm hoặc bệnh phổi nên đi khám định kì, để phát hiện các bệnh lý liên quan về kén khí nói riêng và bệnh phổi nói chung, từ đó có hướng điều trị kịp thời.
PN (Nguoiduatin.vn)
