Nhồi máu cơ tim cấp từng được coi là bệnh lý chủ yếu xuất hiện ở người cao tuổi. Tuy nhiên, hiện nay, căn bệnh nguy hiểm này đang dần có xu hướng trẻ hóa. Một trường hợp điển hình vừa được ghi nhận tại Bệnh viện Đa khoa tỉnh Phú Thọ là người bệnh L.T.T, 35 tuổi, trú tại Cẩm Khê, Phú Thọ.
Theo ThS.BS Nguyễn Văn Sơn, Trưởng khoa Can thiệp Tim mạch, Phụ trách Trung tâm Tim mạch, Bệnh viện Đa khoa tỉnh Phú Thọ, người bệnh trước đây có sức khỏe bình thường, không có tiền sử bệnh tim mạch. Tuy nhiên, khoảng 2 ngày trước khi vào viện, người bệnh cảm thấy tức ngực, khó thở. Mức độ đau tăng dần, khi ngực đau dữ dội, người bệnh đã đến Bệnh viện kiểm tra.
Các bác sĩ thực hiện can thiệp tái thông dòng chảy cho người bệnh. Ảnh: BVCC
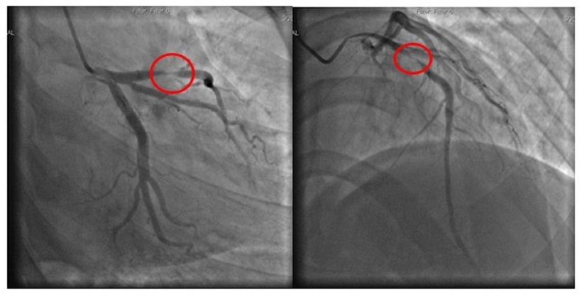
Tại bệnh viện, người bệnh được làm các xét nghiệm, điện tâm đồ, siêu âm tim và được chẩn đoán nhồi máu cơ tim cấp. Các bác sĩ đã chỉ định chụp và can thiệp động mạch vành qua da. Kết quả chụp mạch vành cho thấy hẹp 99% LAD1, ngay lập tức người bệnh được can thiệp nong bóng, đặt một stent tại vị trí động mạch bị tắc để tái thông dòng chảy.
Sau can thiệp, tình trạng người bệnh đã cải thiện rõ rệt: hết khó thở, hết đau ngực. Sau 3 ngày điều trị, người bệnh hồi phục tốt và được ra viện.
Theo thống kê, tại Trung tâm Tim mạch – Bệnh viện Đa khoa tỉnh Phú Thọ, chỉ tính riêng năm 2024 đã tiếp nhận khoảng 250 ca bệnh nhồi máu cơ tim cấp, trong đó có 5 ca ở người trẻ dưới 40 tuổi, có 2 ca bệnh dưới 30 tuổi. Điều này cho thấy, nhồi máu cơ tim cấp không còn là bệnh chỉ gặp ở người cao tuổi mà đang dần trở thành mối đe dọa với người trẻ. Nhồi máu cơ tim cấp có thể xảy ra bất cứ lúc nào, ngay cả ở những người không có tiền sử bệnh lý rõ ràng.
Do đó, người dân, đặc biệt là những người có thói quen sinh hoạt thiếu lành mạnh như hút thuốc, ít vận động hoặc tiền sử gia đình có người mắc bệnh tim mạch, cần chủ động kiểm tra sức khỏe định kỳ. Việc phát hiện sớm các yếu tố nguy cơ như rối loạn mỡ máu, tăng huyết áp hay tiểu đường có thể giúp phát hiện sớm, phòng ngừa bệnh tiến triển nặng.
Hình ảnh phim chụp thể hiện động mạch bị tắc. Ảnh: BVCC
Nhồi máu cơ tim cấp ở người trẻ tuổi có thể gây ra những hậu quả nghiêm trọng nếu không được phát hiện sớm. Trường hợp người bệnh L.T.T là lời cảnh báo cho tất cả mọi người, đặc biệt là những người trẻ tuổi cần quan tâm hơn đến sức khỏe tim mạch. Việc duy trì lối sống lành mạnh, kiểm soát tốt các yếu tố nguy cơ và khám sức khỏe định kỳ là chìa khóa quan trọng giúp ngăn ngừa bệnh lý nguy hiểm này.
Do đó, ThS.BS Nguyễn Văn Sơn khuyến cáo người dân, đặc biệt là những người có thói quen sinh hoạt thiếu lành mạnh như hút thuốc, ít vận động hoặc tiền sử gia đình có người mắc bệnh tim mạch, cần chủ động kiểm tra sức khỏe định kỳ. Việc phát hiện sớm các yếu tố nguy cơ như rối loạn mỡ máu, tăng huyết áp hay tiểu đường có thể giúp phát hiện sớm, phòng ngừa bệnh tiến triển nặng.
