Vàng da tưởng sỏi mật, đi khám phát hiện bị mắc cùng lúc hai ung thư
Theo VTC News, một phụ nữ 59 tuổi được các bác sĩ Trung tâm Y học hạt nhân và Ung bướu, Bệnh viện Bạch Mai, tiếp nhận trong tình trạng vàng da, ngứa và đau vùng hạ sườn phải kéo dài. Kết quả chẩn đoán hình ảnh ban đầu ghi nhận tổn thương đường mật trong gan kèm sỏi và giãn đường mật.
Tuy nhiên, trong quá trình thăm khám toàn diện, nội soi tiêu hóa phát hiện thêm một khối u tại đại tràng lên. Sinh thiết xác định đây là ung thư biểu mô tuyến.
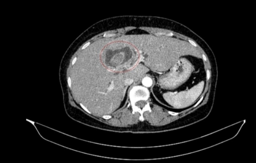
Sỏi đường mật tạo ổ áp xe gan - đường mật gan trái (vòng tròn màu đỏ). Ảnh: VTC News.
Sau hội chẩn đa chuyên khoa, các bác sĩ xác định bệnh nhân mắc đồng thời hai ung thư nguyên phát, thay vì một khối u di căn. Cụ thể, ung thư đại tràng phải ở giai đoạn sớm, chưa di căn hạch, trong khi ung thư đường mật trong gan đã ở giai đoạn tiến triển, có xâm lấn và di căn hạch.
Theo các chuyên gia, việc phân biệt ung thư nguyên phát với di căn có ý nghĩa then chốt, bởi quyết định hoàn toàn hướng điều trị và tiên lượng cho người bệnh.
Dựa trên thể trạng và mức độ tổn thương, ê-kíp lựa chọn phương án phẫu thuật triệt căn trong cùng một lần mổ. Người bệnh được cắt đoạn đại tràng phải kèm nạo vét hạch, đồng thời cắt gan trái và đường mật ngoài gan.
Ca mổ diễn ra thuận lợi, toàn bộ tổn thương được loại bỏ. Sau phẫu thuật, bệnh nhân hồi phục tốt, chức năng gan mật dần ổn định.
Kết quả giải phẫu bệnh cho thấy tổn thương đại tràng đã được cắt bỏ triệt căn, không cần điều trị bổ trợ. Trong khi đó, ung thư đường mật có xâm lấn thần kinh và di căn hạch, do đó bệnh nhân tiếp tục được hóa trị bổ trợ nhằm giảm nguy cơ tái phát.
Theo PGS.TS. Phạm Cẩm Phương, Giám đốc Trung tâm Ung bướu và Y học hạt nhân, Bệnh viện Bạch Mai, việc phát hiện đồng thời hai ung thư nguyên phát trong hệ tiêu hóa là rất hiếm. Trường hợp này cho thấy vai trò quan trọng của thăm khám toàn diện, giúp phát hiện sớm những tổn thương tiềm ẩn.
Đáng chú ý, ung thư đường mật trong gan thường tiên lượng xấu do phát hiện muộn. Ở bệnh nhân này, các dấu hiệu tắc mật xuất hiện sớm đã vô tình trở thành “chìa khóa” giúp phát hiện bệnh ở thời điểm còn khả năng can thiệp triệt căn.
Bác sĩ khuyến cáo người dân cần đi khám khi có các dấu hiệu bất thường như vàng da, đau bụng, rối loạn tiêu hóa kéo dài. Tầm soát ung thư định kỳ, đặc biệt bằng nội soi tiêu hóa, giúp phát hiện sớm tổn thương.
Sau điều trị, bệnh nhân cần tái khám định kỳ mỗi 3-6 tháng bằng siêu âm, CT hoặc MRI và xét nghiệm dấu ấn ung thư. Riêng với ung thư đại tràng, nội soi kiểm tra nên thực hiện mỗi 1-2 năm để phát hiện sớm tái phát hoặc tổn thương mới.
Trường hợp này được xem là minh chứng cho hiệu quả của tiếp cận đa chuyên khoa và cá thể hóa điều trị trong các ca ung thư phức tạp.
Vùng kín lở loét vì đắp thuốc lá dân gian chữa ngứa
Theo Sức khỏe & Đời sống, Khoa Sản, Bệnh viện Bệnh Nhiệt đới Trung ương vừa tiếp nhận bệnh nhân T.M (46 tuổi, Ninh Bình) trong tình trạng vùng âm hộ loét rộng, nhiễm trùng nghiêm trọng do tự ý đắp thuốc lá dân gian.
Bệnh nhân cho biết tình trạng ngứa vùng kín đã kéo dài nhiều năm. Dù từng được chẩn đoán viêm âm đạo do nấm và dùng thuốc Tây, nhưng bệnh hay tái phát. Nghe lời mách bảo, chị tìm đến thầy lang tại Thanh Hóa để điều trị bằng thuốc Nam.
Suốt một năm, chị M. vừa uống thuốc sắc, vừa giã lá tươi đắp trực tiếp vào vùng kín mỗi tối. Ban đầu chị thấy dịu nhẹ, nhưng càng về sau cơn ngứa càng dữ dội gây mất ngủ triền miên. Do quá ngứa, bệnh nhân gãi nhiều dẫn đến trầy xước. Việc đắp lá không đảm bảo vệ sinh càng khiến vùng da bị kích ứng và nhiễm trùng nặng.
Khi nhập viện, vùng âm hộ của chị M. đã bị loét rộng, da trợt gần như toàn bộ. Kết quả xét nghiệm xác định bệnh nhân vừa mắc nấm âm đạo, vừa bị viêm loét nặng do kích ứng thuốc lá và vệ sinh sai cách.
BSCKII Nguyễn Thị Thu Hà – Trưởng khoa Sản, Bệnh viện Bệnh Nhiệt đới Trung ương phân tích: "Việc đắp lá tươi không vô trùng vào vùng niêm mạc nhạy cảm sẽ phá hủy hàng rào bảo vệ da, gây loét và nhiễm trùng. Đây là sai lầm nguy hiểm khiến một bệnh lý đơn giản trở nên phức tạp".
Sau một tuần điều trị theo phác đồ kiểm soát nấm và chăm sóc vết loét tại chỗ, sức khỏe bệnh nhân đã ổn định, các tổn thương bắt đầu liền lại.
Để phòng ngừa và điều trị hiệu quả các bệnh phụ khoa, BS Hà lưu ý:
Tuyệt đối không đắp lá, xông thuốc không rõ nguồn gốc vào vùng kín để tránh bỏng niêm mạc hoặc nhiễm trùng.
Khi có dấu hiệu ngứa, khí hư bất thường hoặc có mùi hôi, cần đến cơ sở y tế chuyên khoa để khám và điều trị đúng phác đồ.
Không thụt rửa sâu làm mất cân bằng pH âm đạo; sử dụng đồ lót chất liệu cotton thoáng mát.
Không tự ý dừng thuốc khi thấy triệu chứng vừa giảm. Trong một số trường hợp tái phát nhiều lần, cần điều trị cho cả bạn tình để tránh lây nhiễm chéo.
Nên khám phụ khoa 6 tháng/lần để phát hiện sớm các bất thường.
Phun thuốc cỏ, người phụ nữ bị rắn cắn nguy kịch
Theo Người Lao Động, Bệnh viện Đa khoa Long An cho biết vừa điều trị thành công cho một bệnh nhân bị rắn hổ cắn nguy kịch.
Theo thông tin ban đầu, trưa 25/2, bà P.T.M. (56 tuổi; ngụ xã Vàm Cỏ, tỉnh Tây Ninh) trong lúc phun thuốc diệt cỏ thì bất ngờ bị một con rắn cắn vào chân.
Vết cắn ở chân của bệnh nhân. Ảnh: Công lý.
Sau đó, bà M. được người thân đưa đến cơ sở y tế địa sơ cứu. Tuy nhiên, tình trạng bệnh nhân chuyển biến xấu rất nhanh và xuất hiện các triệu chứng, như: Nôn, tay chân yếu dần, có dấu hiệu ngạt thở…
Ngay lập tức, bệnh nhân đã được chuyển đến Bệnh viện Đa khoa Long An trong tình trạng hôn mê sâu, suy hô hấp nặng, không còn cử động, mất khả năng ngôn ngữ… đe dọa tính mạng.
Tại đây, các bác sĩ đã nhanh chóng đặt ống nội khí quản và cho bệnh nhân thở máy. Dựa trên các biểu hiện lâm sàng đặc trưng như liệt cơ hô hấp, sụp mi và dấu vết răng cắn, các bác sĩ nhận định nhiều khả năng bệnh nhân bị rắn hổ đất cắn.
Bệnh nhân được chỉ định sử dụng huyết thanh kháng nọc rắn hổ đất và chuyển về Khoa Hồi sức tích cực – Chống độc để theo dõi đặc biệt và điều trị. Sau thời gian theo dõi và điều trị, bác sĩ đã cho bà M. xuất viện khi sức khỏe ổn định.
