Bé trai 14 tuổi rơi vào hôn mê sau cơn đau đầu dữ dội
Theo Thời báo VTV, bé trai 14 tuổi (ở Hà Tĩnh) đang trong giờ học tại trường bất ngờ xuất hiện triệu chứng đau đầu dữ dội kèm theo nôn mửa. Ngay sau đó, bệnh nhi rơi vào trạng thái hôn mê và được nhà trường nhanh chóng đưa đi cấp cứu.
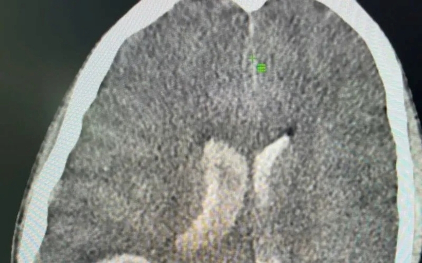
Tại Trung tâm Y tế Hồng Lĩnh (Hà Tĩnh), bệnh nhi được chỉ định chụp cắt lớp vi tính sọ não. Kết quả cho thấy bệnh nhi bị xuất huyết não lan vào não thất - một tình trạng cấp cứu nguy hiểm, có thể đe dọa tính mạng nếu không được xử lý kịp thời.
Bệnh nhi được cấp cứu tích cực tại khoa Hồi sức tích cực - Chống độc. Các bác sĩ theo dõi sát diễn biến thần kinh và huyết động của bệnh nhi, đồng thời thực hiện các biện pháp kiểm soát áp lực nội sọ và ngăn ngừa biến chứng.
Bé trai được xác định xuất huyết não qua hình ảnh cắt lớp vi tính. Ảnh: Thời báo VTV
Nguyên nhân gây xuất huyết đang được tiếp tục xác định. Các bác sĩ cảnh báo, dù còn trẻ nhưng trẻ vị thành niên vẫn có nguy cơ mắc các bệnh lý mạch máu não, nhất là khi có dị dạng mạch hoặc tăng huyết áp không được phát hiện sớm.
Các bác sĩ khuyến cáo, xuất huyết não ở trẻ em dù hiếm gặp nhưng không phải không có. Nguyên nhân có thể liên quan đến dị dạng mạch máu bẩm sinh, tăng huyết áp, chấn thương hoặc rối loạn đông máu. Những biểu hiện như đau đầu dữ dội, nôn, rối loạn ý thức cần được đưa đi cấp cứu ngay lập tức.
Các bậc phụ huynh và nhà trường cần chú ý đến những biểu hiện bất thường về sức khỏe của trẻ, đặc biệt là các dấu hiệu thần kinh. Nên kiểm tra sức khỏe định kỳ để phát hiện sớm các bệnh lý tiềm ẩn như tăng huyết áp, tim mạch, dị dạng mạch máu não…
Tay bị sưng tấy, nổi mụn nước sau bôi dầu gió khi mắc Zona
Thời báo VTV đưa tin, Trung tâm Y tế huyện Tân Sơn (Phú Thọ) vừa tiếp nhận người bệnh 74 tuổi, trong tình trạng vùng cánh tay phải sưng tấy, đau rát, viêm đỏ, nổi mụn nước và có một vài ổ loét.
Trước đó, khi xuất hiện triệu trứng đau rát và nổi ban vùng da cánh tay phải, người bệnh đã lấy dầu gió để bôi giảm đau. Sau đó, vị trí này có nhiều mụn phỏng nước, sưng tấy.
Tại Trung tâm Y tế huyện Tân Sơn, qua thăm khám, người bệnh được chẩn đoán bị Zona thần kinh. Các bác sĩ đã chỉ định sử dụng thuốc kháng virus để kiểm soát sự phát triển của bệnh, giảm đau, chống viêm theo phác đồ; chăm sóc da hàng ngày nhằm giảm nguy cơ để lại sẹo và tổn thương da kéo dài cho người bệnh.
Hiện sức khỏe người bệnh ổn định, đỡ đau, các vết thương đã lành và đang tiếp tục được theo dõi, điều trị tại khoa Truyễn nhiễm Kiểm soát dịch bệnh.
Vùng cánh tay phải của bệnh nhân bị sưng tấy, đau rát, viêm đỏ, nổi mụn nước và có một vài ổ loét. Ảnh: Thời báo VTV
Bệnh Zona thần kinh, hay còn được gọi là bệnh giời leo, là một tình trạng nhiễm trùng do virus gây ra, thường gặp ở những người lớn tuổi hoặc có hệ miễn dịch suy giảm. Ở các đối tượng này, bệnh dễ dẫn đến các biến chứng nặng nề như đau rát, ngứa ngáy và nổi mụn nước trên da; đặc biệt là đau sau Zona như đau dây thần kinh kéo dài, ảnh hưởng đến giấc ngủ, tâm lý và sức khỏe người bệnh. Khi phát bệnh, người bệnh thường có các triệu chứng như: Đau rát theo dải dây thần kinh, mụn nước mọc thành chùm, thường ở một bên cơ thể, sốt nhẹ, mệt mỏi, khó chịu…
Việc bôi dầu gió hoặc đắp các loại lá cây, hạt đậu xanh, thoa mật ong, tỏi, nha đam… có thể làm tổn thương thêm vùng da, gây nhiễm trùng, để lại sẹo hoặc biến chứng đau thần kinh sau Zona rất khó chữa.
Vì vậy, khi thấy các dấu hiệu đau bất thường hoặc có mụn nước, người bệnh cần đến các cơ sở y tế để được thăm khám và xác định chính xác nguyên nhân gây bệnh. Không tự ý điều trị bằng mẹo dân gian, tránh nguy cơ biến chứng nguy hiểm.
Can thiệp truyền máu song thai trong bụng mẹ cứu 2 em bé
Theo VnExpress, ngày 19/4, TS.BS Phan Huyền Thương, Phó Giám Đốc Phụ trách Trung tâm Can thiệp Bào thai - Bệnh viện Phụ sản Hà Nội, cho biết thai phụ 29 tuổi, mang thai đôi tự nhiên, mắc hội chứng truyền máu song thai giai đoạn hai.
Ở tuần thai 18, một thai nhi phát triển tương đương 17 tuần, thai còn lại tương đương 18 tuần, kết quả siêu âm cho thấy có sự chênh lệch rõ rệt giữa hai thai. "Một bé bị đa ối, bé còn lại gần như không còn nước ối, tiên lượng rất nặng", bác sĩ nói.
Trước nguy cơ mất cả hai bé nếu không được can thiệp, bác sĩ chỉ định phẫu thuật bằng phương pháp laser quang đông, can thiệp vào các mạch máu bất thường trên bánh nhau, ngăn chặn tình trạng truyền máu không đều giữa hai thai nhi.
Sau phẫu thuật, sức khỏe mẹ ổn định, các chỉ số của hai thai nhi cải thiện tích cực. Hiện, thai phụ tiếp tục được theo dõi và chăm sóc đặc biệt tại khoa, đảm bảo thai kỳ tiến triển thuận lợi.
Các bác sĩ tiến hành phẫu thuật. Ảnh: VnExpress
Truyền máu song thai (tiếng Anh là Twin-twin Transfusion Syndrome - TTTS) là hội chứng xảy ra trong thai kỳ, khi người mẹ đang mang bầu một cặp song sinh cùng trứng, chung bánh nhau nhưng lại khác túi ối. Đây là một tai biến trước sinh vô cùng nghiêm trọng. Theo hiệp hội Truyền máu song thai Mỹ, hội chứng này xảy ra với khoảng 15% trường hợp mang song thai có chung một bánh nhau.
Hội chứng này chia ra nhiều giai đoạn. Ở giai đoạn muộn, nếu không được điều trị, một thai sẽ chết. Khi đó, thai còn lại có thể sẽ bị chết theo hoặc tổn thương rất nặng nề về tổ chức não (có thể bị di chứng nặng về thần kinh). Vì thế, người mẹ cần điều trị càng sớm càng tốt khi được chẩn đoán mắc hội chứng truyền máu song thai.
