Đi khám do đau bụng, phát hiện bị viêm ruột thừa do lao
Theo Thời báo VTV, các bác sĩ Bệnh viện Việt Nam - Thụy Điển Uông Bí (Quảng Ninh) vừa tiếp nhận nam bệnh nhân 57 tuổi (ở Hải Dương) đến khám vì đau bụng.
Qua thăm khám, các bác sĩ chẩn đoán viêm ruột thừa, bệnh nhân được phẫu thuật cắt ruột thừa và gửi bệnh phẩm tới khoa Giải phẫu bệnh để làm xét nghiệm mô bệnh học.
Kết quả xét nghiệm cho thấy ruột thừa viêm do vi khuẩn lao. Sau phẫu thuật, bệnh nhân ổn định, được ra viện và tiếp tục điều trị theo phác đồ điều trị bệnh lao.
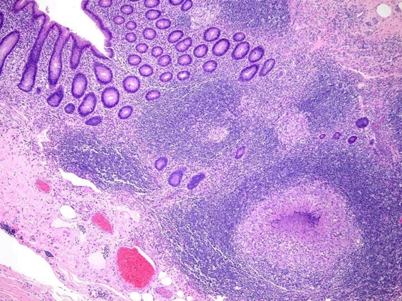
Hình ảnh tổn thương viêm do lao trên xét nghiệm mô bệnh học. Ảnh: Bảo Vệ Pháp Luật
Bác sĩ CKI. Phạm Thị Hoa - Khoa Giải phẫu bệnh cho biết, việc phát hiện sớm tình trạng viêm ruột thừa căn nguyên do lao gây ra có ý nghĩa rất lớn cho điều trị của người bệnh. Bởi từ đó sẽ giúp các bác sĩ lâm sàng có phác đồ điều trị thích hợp, tránh để bệnh lao phát triển và gây nhiều biến chứng cho sức khỏe của người bệnh.
Bệnh viêm ruột thừa do lao rất hiếm gặp, với tỷ lệ mắc chỉ từ 1,5 - 3,0% ở những người bệnh mắc bệnh lao. Thách thức mà căn bệnh này đặt ra nằm ở việc xác định và chẩn đoán kịp thời.
Thông thường, người bệnh sẽ đến khám mà không có tiền sử mắc bệnh lao phổi, biểu hiện giống hệt với những người mắc viêm ruột thừa không do lao gây ra hoặc thậm chí không có triệu chứng gợi ý. Hình ảnh siêu âm và chụp cắt lớp ổ bụng có thể không đặc hiệu.
Chẩn đoán cuối cùng về viêm ruột thừa lao chỉ được đưa ra khi người bệnh được làm xét nghiệm giải phẫu bệnh, việc chẩn đoán trên xét nghiệm mô bệnh học cũng có thể nhầm lẫn với tổn thương mô hạt viêm hoặc bệnh sarcoidosis…
Bởi vậy, người bệnh nên đến khám tại các cơ sở y tế để được chẩn đoán, điều trị, làm xét nghiệm và được chẩn đoán bởi bác sĩ giải phẫu bệnh có kinh nghiệm để xác định chính xác nguyên nhân gây viêm, tránh bỏ lọt các tổn thương đặc biệt là các tổn thương u ác tính tại ruột thừa.
Bị tắc ruột do nuốt phải hàng nghìn mảnh xương rắn
Báo Công An Nhân Dân đưa tin, ngày 5/4, khoa Ngoại tổng hợp thuộc Bệnh viện Đa khoa TP.Cần Thơ vừa phẫu thuật thành công cho một bệnh nhân bị tắc ruột do nuốt phải hàng nghìn mảnh xương rắn.
Trước đó, bệnh nhân L.T.Th. (SN 1976, ngụ Cái Răng, TP.Cần Thơ) nhập viện trong tình trạng đau bụng, bí trung tiện và đại tiện suốt 4 ngày, kèm theo cảm giác đau nhiều ở vùng hậu môn.
Qua thăm khám lâm sàng, nội soi trực tràng và chụp cắt lớp vi tính, các bác sĩ phát hiện vùng trực tràng, hậu môn chứa rất nhiều dị vật dạng xương nhỏ, nguyên nhân gây tắc ruột.
Các bác sĩ đã gắp ra được hàng nghìn mảnh xương rắn nhỏ, có chiều dài từ 3 mm đến 2 cm. Ảnh: Công An Nhân Dân
Bệnh nhân cho biết đã ăn nhiều rắn bông súng luộc sả cách đây 6 ngày. Do hàm răng bị hư, bệnh nhân nhai không kỹ và nuốt gần như nguyên con, bao gồm cả xương. Hai ngày sau, bắt đầu xuất hiện đau bụng, bí trung đại tiện và 4 ngày gần đây không ăn uống được gì vì đau vùng hậu môn dữ dội, có chảy máu nhẹ, lo sợ bị ung thư đại tràng nên được người nhà đưa đi cấp cứu.
Ca phẫu thuật tiến hành gần một giờ đồng hồ, các bác sĩ đã gắp ra được hàng nghìn mảnh xương rắn nhỏ, có chiều dài từ 3 mm đến 2 cm, tích tụ dày đặc tại vùng trực tràng. Sau khi lấy hết dị vật, tiến hành bơm rửa sạch trực tràng, đường tiêu hóa của bệnh nhân đã được thông suốt trở lại.
Theo các bác sĩ, đây là một trường hợp hiếm gặp, bệnh nhân may mắn vì các mảnh xương chưa đâm thủng ruột gây viêm phúc mạc – một biến chứng có thể đe dọa tính mạng nếu không được xử trí kịp thời.
Chàng trai ở Trung Quốc nuôi nghé làm thú cưng
VietNamNet dẫn thông tin từ Xiaoxiang Morning Herald cho biết, huấn luyện viên thể hình họ Chen ở Quảng Đông (Trung Quốc) quyết định nuôi một con nghé 4 tháng tuổi, chăm sóc như thú cưng bình thường.
Việc chăm sóc con nghé này giống như lời nhắc nhở hàng ngày đối với Chen là cần cố gắng tiến về phía trước, không bao giờ tự mãn. Chen luôn tận tâm tắm rửa và xịt thuốc chống côn trùng cho con vật.
"Con nghé của tôi rất hiền. Trước đó, tôi nuôi một chú chó con, song thấy ồn ào quá nên quyết định bầu bạn cùng chú nghé", Chen chia sẻ.
Mặc dù, chú nghé chỉ kêu khi đói nhưng nuôi một con vật lớn như vậy trong môi trường đô thị cũng khiến Chen gặp không ít khó khăn. Chủ căn hộ trước đó Chen thuê đã yêu cầu anh rời đi ngay lập tức vì phát hiện ra chú nghé trong nhà. Anh phải rất vất vả mới tìm được một chỗ thuê mới chấp nhận cho nuôi "thú cưng" đặc biệt này.
Chàng trai tận tâm tắm rửa và xịt thuốc chống côn trùng cho con nghé. Ảnh: Xiaoxiang Morning Herald
Ngay sau khi câu chuyện của Chen được đăng tải, một số cư dân mạng đã thể hiện sự thích thú cũng như khâm phục sức chịu đựng của chàng trai. Tuy nhiên, cũng có ý kiến tỏ ra quan ngại việc một con vật lớn như vậy sẽ gây ảnh hưởng tới cuộc sống của không chỉ chủ nhà mà còn cả hàng xóm xung quanh.
Tuy nhiên, Chen nhấn mạnh cam kết của mình trong việc duy trì vệ sinh và đảm bảo con nghé không làm phiền đến những cư dân khác trong khu. Nghé con đã được anh đưa về quê ở Phật Sơn (Quảng Đông) để đón tết Thanh minh trong ngày 4/4.
