Đang hoàn toàn khỏe mạnh và không có bất kỳ triệu chứng bất thường nào, ông H.V.N (63 tuổi, trú tại Hà Nội) quyết định đi kiểm tra sức khỏe. Chính quyết định tưởng chừng đơn giản ấy đã giúp ông phát hiện nguy cơ đột quỵ nguy hiểm đang rình rập, có thể xảy ra bất cứ lúc nào.
Ông N cho biết không gặp phải bất kỳ triệu chứng nghi ngờ nào của đột quỵ. Trước đó, ông cũng không rõ mình có bị tăng huyết áp hay mắc các bệnh lý tim mạch hay không.
Tuy nhiên, bệnh nhân có tiền sử hút thuốc lá tới 20 năm (khoảng 1 bao/ngày), giờ đã bỏ thuốc được 4 năm. Trong suốt 3 năm gần đây, ông không kiểm tra sức khỏe định kỳ. Tại thời điểm thăm khám, bác sĩ ghi nhận chỉ số huyết áp của ông N là 165/95 mmHg – cao hơn mức bình thường. Thăm khám lâm sàng tim mạch còn cho thấy có tiếng thổi tâm thu ở vùng động mạch cảnh – dấu hiệu cảnh báo nguy cơ bệnh lý mạch máu tiềm ẩn.
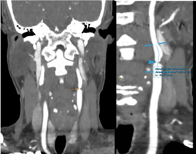
Để đánh giá toàn diện, bệnh nhân được chỉ định thực hiện các xét nghiệm và kỹ thuật chẩn đoán hình ảnh. Kết quả cho thấy chỉ số cholesterol máu tăng cao, đặc biệt là LDL-C (mỡ xấu). Siêu âm mạch cảnh phát hiện mảng xơ vữa kích thước 18x5mm ở xoang cảnh phải gây hẹp 75%, và mảng xơ vữa 15x5mm ở xoang cảnh trái gây hẹp 76%.
Chưa dừng lại ở đó, hình ảnh MSCT (chụp cắt lớp điện toán đa lát cắt) mạch cảnh xác định mảng xơ vữa mềm gây hẹp tới 86% đoạn gốc động mạch cảnh trong trái, 70% tại vị trí hành cảnh trái, 50% hành cảnh phải và 50% đoạn gốc động mạch cảnh trong phải.
Bác sĩ chẩn đoán bệnh nhân mắc bệnh động mạch cảnh do xơ vữa không triệu chứng, gây hẹp đáng kể hai bên, kèm theo tăng huyết áp. Ông N nhanh chóng được chỉ định điều trị để ngăn ngừa biến chứng đột quỵ.
Phát hiện bệnh sớm như 'phao cứu sinh' cho người bệnh
Theo BS.CKII Trần Hải Nam – Chuyên khoa Tim mạch, Phòng khám Đa khoa MEDLATEC Thanh Xuân - cho biết bệnh động mạch cảnh do xơ vữa là tình trạng hẹp hoặc tắc động mạch cảnh chung làm giảm lưu lượng máu đến não. Khi động mạch cảnh bị hẹp trên 60%, nguy cơ đột quỵ tăng rõ rệt. Đặc biệt khi hẹp trên 80%, nguy cơ có thể lên tới 33% xuất hiện các cơn thiếu máu não thoáng qua (TIA) hoặc đột quỵ thực sự.
Triệu chứng của TIA hoặc đột quỵ có thể bao gồm:
- Cảm giác yếu, tê liệt một bên cơ thể.
- Mất kiểm soát cử động tay chân.
- Nói khó, nói không rõ.
- Mù mắt thoáng qua ở một bên.
“Bệnh động mạch cảnh tiến triển âm thầm. Nhiều trường hợp, người bệnh không hề có biểu hiện lâm sàng nào cho đến khi xảy ra đột quỵ. Việc phát hiện sớm giống như một ‘phao cứu sinh’ cho não bộ và tính mạng người bệnh”, BS Trần Hải Nam chia sẻ.
Ai nên tầm soát?
Bác sĩ khuyến cáo việc kiểm tra sức khỏe định kỳ – đặc biệt ở nhóm nguy cơ cao – là cách hiệu quả để phát hiện sớm và điều trị kịp thời bệnh lý nguy hiểm này. Những đối tượng nên tầm soát bệnh động mạch cảnh bao gồm:
- Người trên 50 tuổi, đặc biệt là nam giới.
- Người từng có cơn thiếu máu não thoáng qua (TIA) hoặc đột quỵ.
- Người mắc bệnh lý tim mạch: tăng huyết áp, mỡ máu cao, tiểu đường, bệnh mạch vành.
- Người hút thuốc lá lâu năm – yếu tố nguy cơ hàng đầu gây xơ vữa mạch.
- Người có lối sống tĩnh tại, ít vận động, chế độ ăn thiếu lành mạnh.
- Người có tiền sử gia đình mắc bệnh tim mạch sớm.
Trường hợp của ông N là minh chứng rõ ràng cho tầm quan trọng của việc chủ động kiểm tra sức khỏe định kỳ – đặc biệt với người cao tuổi hoặc có yếu tố nguy cơ tim mạch. Phát hiện sớm bệnh động mạch cảnh không chỉ ngăn ngừa đột quỵ mà còn bảo vệ toàn diện sức khỏe tim mạch và chất lượng sống lâu dài, BS Trần Hải Nam chia sẻ.
Ngọc Minh
