Báo Dân Trí đưa tin, chiều 1/5, đại diện Bệnh viện Nhân dân Gia Định (TP.HCM) cho biết, vừa qua nơi đây đã tiếp nhận điều trị một trường hợp nguy kịch vì tai biến thẩm mỹ.
Bệnh nhân là chị N.T.N. (28 tuổi). Khai thác bệnh sử, ngày 22/4, chị N. trải qua ca phẫu thuật nâng mũi tại một bệnh viện thẩm mỹ trên địa bàn TP.HCM.
Gần cuối ca mổ, khi đang trong giai đoạn gây mê, cô gái đột ngột xuất hiện các dấu hiệu thở nhanh, co kéo cơ hô hấp, huyết áp tụt mạnh và độ bão hòa oxy máu giảm nghiêm trọng.
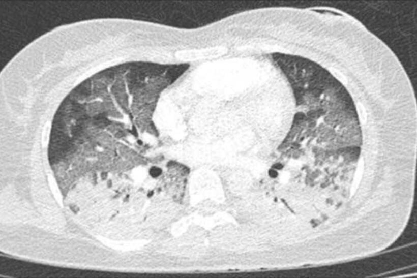
Khi chuyển đến Bệnh viện Nhân dân Gia Định phổi cô gái bị tổn thương đông đặc. Ảnh: Dân Trí.
Nhận định đây là trường hợp sốc phản vệ nặng, ê-kíp phẫu thuật lập tức xử trí theo phác đồ cấp cứu. Tuy nhiên, tình trạng sốc và suy hô hấp của người bệnh không cải thiện. Cô gái sau đó được chuyển khẩn cấp đến Bệnh viện Nhân dân Gia Định.
Tạp chí Tri Thức dẫn lời ThS.BS Võ Văn Trắng, Đơn vị Hồi sức tích cực tim mạch, Bệnh viện Nhân dân Gia Định (TP.HCM), cho biết thời điểm được chuyển đến khoa Cấp cứu, bệnh nhân được chẩn đoán tổn thương đa cơ quan liên quan sốc phản vệ, đặc biệt nghiêm trọng là tổn thương cơ tim cấp và hội chứng suy hô hấp cấp (ARDS).
Các bác sĩ khoa Hồi sức Tim mạch đã kích hoạt quy trình ECMO và thực hiện can thiệp V-AV ECMO chỉ trong vòng 30 phút sau nhập viện.
Bác sĩ Trắng cho hay ECMO (hệ thống tuần hoàn ngoài cơ thể) là phương pháp hỗ trợ tạm thời cho tim và phổi khi hai cơ quan này không còn đảm bảo chức năng sống. Thông thường, ECMO có hai dạng: V-V ECMO hỗ trợ phổi, V-A ECMO hỗ trợ tim. Tuy nhiên, với những ca bệnh phức tạp như chị N. khi cả tim và phổi đều tổn thương nặng, các bác sĩ buộc phải sử dụng kỹ thuật lai ghép V-AV ECMO.
Bệnh nhân hồi phục sau 8 ngày điều trị tại Bệnh viện Nhân dân Gia Định. Ảnh: Tạp chí Tri Thức.
Trong hai năm gần đây, Bệnh viện Nhân dân Gia Định đã cứu sống 4 ca sốc phản vệ hoặc ngừng tim bằng kỹ thuật này.
Theo TS.BS Giang Minh Nhật, Phó khoa Hồi sức Tim mạch, trong nhiều trường hợp, nếu được hỗ trợ tuần hoàn cơ học sớm, các tổn thương cơ tim sau ngừng tim hoặc sốc phản vệ có thể phục hồi trong vòng 48-72 giờ. Điều quan trọng là xử lý sớm để ổn định huyết động, kiểm soát rối loạn chuyển hóa và duy trì tưới máu tạng hiệu quả.
Sau ba ngày điều trị bằng V-AV ECMO, tình trạng sốc tim và tổn thương cơ tim của bệnh nhân cải thiện rõ rệt. Đến ngày thứ 4, bệnh nhân được ngưng ECMO và tiếp tục theo dõi tích cực và được xuất viện sau 8 ngày điều trị.
Đây được xem là kết quả rất đáng ghi nhận trong bối cảnh sốc phản vệ do gây mê thường diễn biến nhanh và khó lường.
