“Bác sĩ ơi, tôi không đau, sao lại phải cắt bỏ thận?” – câu hỏi quen thuộc nhưng luôn khiến bác sĩ Lực lặng người mỗi khi nghe thấy. Đằng sau đó là không ít trường hợp đáng tiếc, khi người bệnh buộc phải từ bỏ một bên thận chỉ vì những quan niệm sai lầm kéo dài trong nhiều năm.
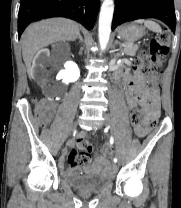
Theo bác sĩ Lực, số ca phải phẫu thuật cắt bỏ thận mất chức năng do sỏi có xu hướng gia tăng. Điểm chung ở nhiều bệnh nhân là lựa chọn điều trị bằng thuốc nam trong thời gian dài, với niềm tin rằng “đồ tự nhiên thì an toàn, lành tính hơn so với can thiệp y học hiện đại”.
Tuy nhiên, thực tế lại hoàn toàn ngược lại. Rất nhiều bệnh nhân uống thuốc nam ròng rã suốt nhiều năm mà không thăm khám, không theo dõi tiến triển của bệnh. Trong khi đó, sỏi thận âm thầm phát triển, gây tắc nghẽn đường tiết niệu, làm thận giãn dần, suy giảm chức năng mà không gây ra triệu chứng rõ rệt.
“Đau lòng nhất là khi bệnh nhân vẫn tin mình khỏe mạnh chỉ vì… không thấy đau”, bác sĩ Lực chia sẻ. Trong y khoa, cảm giác “không đau” đôi khi lại là dấu hiệu nguy hiểm, bởi bệnh có thể đang tiến triển âm thầm đến giai đoạn nặng mà người bệnh không hề hay biết.
Khác với những cơn đau quặn thận dữ dội dễ khiến người bệnh đi khám sớm, nhiều trường hợp sỏi thận diễn tiến lặng lẽ. Khi phát hiện thì thận đã mất chức năng, không còn khả năng hồi phục. Lúc này, giải pháp duy nhất là phẫu thuật cắt bỏ để tránh biến chứng nhiễm trùng, ảnh hưởng đến tính mạng.
Điều đáng nói, phần lớn những ca bệnh này hoàn toàn có thể phòng tránh nếu được phát hiện sớm.
Theo các chuyên gia, chỉ cần siêu âm định kỳ - một kỹ thuật đơn giản, nhanh chóng và chi phí không cao - người bệnh có thể phát hiện sỏi thận ngay từ giai đoạn đầu. Khi đó, việc điều trị sẽ nhẹ nhàng hơn rất nhiều, thậm chí không cần phẫu thuật.
Bác sĩ Lực cũng nhấn mạnh, không phải tất cả các bài thuốc “tự nhiên” đều vô hại. Việc sử dụng thuốc không rõ nguồn gốc, không được kiểm chứng có thể khiến bệnh diễn tiến nặng hơn, đồng thời làm mất đi “thời gian vàng” để điều trị hiệu quả.
“Làm nghề y, điều ám ảnh nhất là chứng kiến những mất mát lẽ ra không nên xảy ra”, bác sĩ Lực chia sẻ. Đó không chỉ là nỗi đau về thể chất, mà còn là gánh nặng tâm lý và kinh tế đối với người bệnh và gia đình.
Bác sĩ Lực cảnh báo người dân đừng chủ quan với sức khỏe của chính mình, đặc biệt khi cơ thể chưa có biểu hiện bất thường. Việc thăm khám định kỳ không chỉ giúp phát hiện sớm bệnh tật mà còn là cách bảo vệ bản thân một cách chủ động và khoa học.
“Đừng đợi đến khi ‘hết cứu’ mới tìm bác sĩ. Hãy trân trọng 2 quả thận của mình bởi đôi khi, chỉ một lần kiểm tra đơn giản cũng có thể cứu cả một cuộc đời.”
Ngọc Minh
