Trong nhiều thập kỷ, giới khoa học tin rằng những căn bệnh phá hủy não nghiêm trọng chỉ xuất hiện khi hệ miễn dịch bị suy giảm sâu. Tuy nhiên, một nghiên cứu mới đây đã làm lung lay giả định này khi phát hiện rằng một loại virus phổ biến, âm thầm tồn tại trong cơ thể hàng tỷ người, có thể bất ngờ "thức tỉnh" và gây tổn thương não chết người ngay cả ở những người không thuộc nhóm suy giảm miễn dịch điển hình.
Loại virus được nhắc đến là human polyomavirus 2, hay còn gọi là virus JC. Đây là một tác nhân gây bệnh được cho là đã lây nhiễm từ 50 đến 90% dân số toàn cầu. Đáng chú ý, phần lớn những người nhiễm virus này hoàn toàn không có triệu chứng và thậm chí không hề biết mình mang mầm bệnh trong suốt cuộc đời.

Có một loại virus mà có thể bạn chưa từng nghe tới, nhưng ước tính đã lây nhiễm tới 90% dân số và âm thầm tồn tại trong cơ thể suốt đời. Tuy nhiên, nếu bị kích hoạt, nó có thể phá hủy não bộ. Đáng chú ý hơn, các nhà nghiên cứu tuần này cho biết có thể tồn tại một cơ chế kích hoạt mới ảnh hưởng tới khoảng 10% người trưởng thành trên toàn cầu.
Theo các nghiên cứu, virus JC thường xâm nhập cơ thể từ sớm, có thể qua đường tiêu hóa hoặc amidan, sau đó tồn tại ở trạng thái "ngủ yên". Trong giai đoạn này, nó không gây ra bất kỳ dấu hiệu bệnh lý nào và được gọi là dạng nguyên thủy. Tuy nhiên, trong một số trường hợp hiếm hoi, virus có thể biến đổi, tái cấu trúc vật liệu di truyền và chuyển sang dạng gây bệnh nguy hiểm.
Khi đó, nó gây ra một căn bệnh có tên bệnh não chất trắng đa ổ tiến triển, viết tắt là PML. Đây là một trong những bệnh lý thần kinh nghiêm trọng nhất, khi virus tấn công trực tiếp vào não, phá hủy các tế bào tạo nên bao myelin - lớp bảo vệ quan trọng của sợi thần kinh. Hậu quả là hệ thần kinh bị rối loạn nghiêm trọng, dẫn đến suy giảm chức năng và chết tế bào.
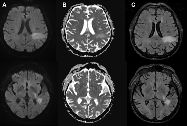
Biểu hiện của PML rất đa dạng và dễ nhầm lẫn với các bệnh lý thần kinh khác như đột quỵ hay đa xơ cứng. Người bệnh có thể gặp khó khăn trong việc nói, suy giảm thị lực, rối loạn vận động hoặc thậm chí co giật. Việc chẩn đoán thường dựa vào hình ảnh tổn thương đặc trưng trên não kết hợp với việc phát hiện DNA virus trong dịch não tủy.

Lịch sử ghi nhận PML lần đầu vào năm 1958 ở một bệnh nhân ung thư. Trong nhiều năm, bệnh được xem là cực kỳ hiếm gặp. Tuy nhiên, đến những năm 1980, khi đại dịch HIV/AIDS bùng phát, PML trở thành một trong những bệnh đặc trưng, với tỷ lệ mắc lên tới 2-5% ở bệnh nhân HIV trong giai đoạn đầu. Khi đó, gần như tất cả các trường hợp đều dẫn đến tử vong.
Sự ra đời của liệu pháp kháng retrovirus mạnh vào năm 1996 đã giúp thay đổi cục diện. Số ca PML giảm đáng kể và bệnh không còn đồng nghĩa với án tử tuyệt đối, dù những người sống sót thường phải đối mặt với các di chứng nặng nề.
Trong suốt thời gian dài, PML được xem là hệ quả của tình trạng suy giảm miễn dịch nghiêm trọng. Tuy nhiên, một báo cáo ca bệnh mới đăng trên Annals of Internal Medicine đã đặt ra một khả năng đáng lo ngại hơn.
Theo đó, các nhà nghiên cứu tại New York đã ghi nhận một trường hợp PML ở bệnh nhân không mắc HIV, không bị ung thư và cũng không sử dụng thuốc ức chế miễn dịch mạnh. Thay vào đó, bệnh nhân mắc bệnh thận mạn tính, một tình trạng phổ biến ảnh hưởng tới khoảng 10% người trưởng thành trên toàn cầu.
Bệnh nhân 72 tuổi này đang ở giai đoạn cuối của suy thận, khi chức năng thận gần như mất hoàn toàn. Ông nhập viện với các triệu chứng thần kinh như khó diễn đạt, lú lẫn và suy yếu. Ban đầu, các bác sĩ cho rằng nguyên nhân là do bệnh não liên quan đến tích tụ độc tố và tiến hành lọc máu. Tuy nhiên, tình trạng không cải thiện mà tiếp tục xấu đi.
Chỉ khi tiến hành chụp não, các bác sĩ mới phát hiện những tổn thương đặc trưng của PML. Xét nghiệm dịch não tủy sau đó xác nhận sự hiện diện của virus JC trong hệ thần kinh trung ương. Diễn biến bệnh diễn ra nhanh chóng và bệnh nhân đã tử vong chỉ hai ngày sau khi được chẩn đoán.

Theo các nhà nghiên cứu, bệnh thận mạn tính có thể tạo ra một môi trường thuận lợi cho virus JC kích hoạt thông qua các cơ chế gián tiếp như tích tụ độc tố, viêm mạn tính và suy giảm khả năng giám sát virus của hệ miễn dịch. Điều này cho thấy virus không chỉ phụ thuộc vào suy giảm miễn dịch "điển hình" mà còn có thể lợi dụng những rối loạn sinh lý khác trong cơ thể.
Phát hiện này mở rộng đáng kể phạm vi các đối tượng có nguy cơ mắc PML và đặt ra yêu cầu cần tăng cường cảnh giác trong thực hành lâm sàng. Trong bối cảnh bệnh thận mạn tính ngày càng phổ biến trên toàn cầu, nguy cơ tiềm ẩn từ virus JC có thể lớn hơn nhiều so với những gì từng được nghĩ tới.
Dù PML vẫn là một bệnh hiếm gặp với tỷ lệ khoảng 2 trên 100.000 người, nhưng tính chất nguy hiểm và khả năng tiến triển nhanh khiến nó trở thành một mối đe dọa không thể xem nhẹ. Nghiên cứu mới đã một lần nữa nhấn mạnh rằng ngay cả những tác nhân tưởng chừng vô hại nhất cũng có thể trở thành nguy cơ chết người khi các điều kiện trong cơ thể thay đổi.
Đức Khương
