Phát hiện sớm chính là yếu tố then chốt giúp ung thư không còn là "án tử". Tuy nhiên, thực tế cho thấy có những cơ quan vừa là đích ngắm ưu tiên của tế bào ác tính, vừa có khả năng lẩn trốn rất tinh vi. Ngay cả khi thực hiện khám sức khỏe định kỳ với các danh mục cơ bản, khối u ở những vị trí này vẫn dễ dàng bị bỏ sót ở giai đoạn khởi phát.
Dưới đây là 5 vị trí cơ thể dễ bị ung thư tấn công nhưng lại khó tầm soát nhất:
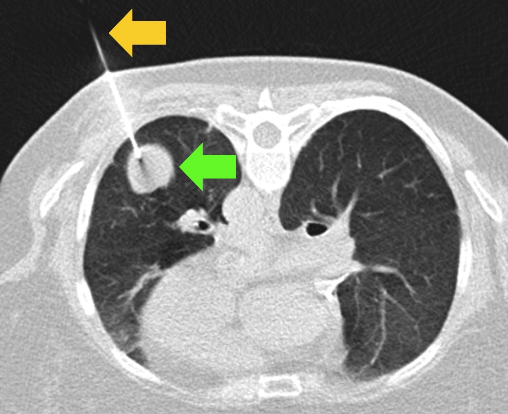
1. Phổi
Ung thư phổi đứng đầu về tỷ lệ tử vong toàn cầu. Theo báo cáo từ GlOBOCAN, có tới hơn 70% bệnh nhân ung thư phổi được chẩn đoán khi đã ở giai đoạn muộn (giai đoạn 3 hoặc 4).
Nguyên nhân là do cấu trúc phổi có nhiều ngóc ngách và bị các xương sườn che chắn nên phương pháp chụp X quang ngực thẳng thông thường rất khó phát hiện các nốt đơn độc có kích thước dưới 10mm. Những tổn thương nằm ở vị trí khuất thường chỉ được nhìn thấy rõ ràng qua chụp cắt lớp vi tính (CT) liều thấp, một kỹ thuật giúp giảm tỷ lệ tử vong do ung thư phổi tới 20% so với chụp X quang thông thường.
2. Tuyến vú
Đối với nữ giới, việc tự thăm khám bằng tay hay siêu âm tuyến vú đơn thuần vẫn có những hạn chế nhất định. Nghiên cứu cho thấy siêu âm có thể bỏ sót tới 15 đến 20% các tổn thương dạng vôi hóa li ti không tạo khối.
Ở những người có mô vú dày, độ nhạy của các phương pháp thông thường giảm đi đáng kể. Chỉ khi phối hợp với chụp nhũ ảnh (Mammography), tỷ lệ phát hiện sớm mới đạt mức tối ưu, giúp nâng tỷ lệ sống sót sau 5 năm lên đến 99% nếu khối u vẫn còn khu trú tại chỗ.
3. Cổ tử cung
Các tổn thương tiền ung thư nằm sâu trong biểu mô thường không gây triệu chứng, khiến người bệnh chủ quan. Theo các nghiên cứu quốc tế, việc kết hợp xét nghiệm virus HPV và xét nghiệm tế bào học (Pap smear) có khả năng phát hiện sớm các bất thường với độ chính xác trên 90%.
Nếu chỉ khám phụ khoa bằng mắt thường và bỏ qua các xét nghiệm chuyên sâu này, bệnh thường chỉ bộc phát khi đã xâm lấn, lúc này tỷ lệ chữa khỏi hoàn toàn giảm xuống dưới 60%.
4. Tuyến tụy
Đây được mệnh danh là "sát thủ thầm lặng" với tỷ lệ sống sót sau 5 năm thấp nhất trong các loại ung thư (khoảng 11 đến 12%).
Tuyến tụy nằm sâu sau dạ dày, rất khó quan sát bằng siêu âm ổ bụng thông thường. Hầu hết các khối u tụy thường không gây đau đớn cho đến khi di căn sang các cơ quan lân cận hoặc gây vàng da. Do đó, các danh mục khám sức khỏe cơ bản hầu như không thể "chạm" tới được khối u tuyến tụy ở giai đoạn sớm.
5. Gan
Gan là cơ quan có khả năng bù trừ rất tốt, nên khi các tế bào ác tính mới hình thành, chức năng gan vẫn hiển thị bình thường trên các kết quả xét nghiệm men gan. Theo thống kê, phần lớn bệnh nhân ung thư gan phát hiện bệnh khi khối u đã lớn hoặc đã có huyết khối tĩnh mạch cửa. Việc chỉ siêu âm đơn thuần mà không kết hợp xét nghiệm chỉ số AFP hoặc chụp cộng hưởng từ (MRI) đối với nhóm nguy cơ cao thường dẫn đến việc bỏ lỡ "thời điểm vàng" để can thiệp phẫu thuật.
Lời khuyên từ chuyên gia
Việc hiểu đúng về giới hạn của các phương pháp chẩn đoán thông thường giúp bạn có chiến lược tầm soát chuyên sâu hơn. Chìa khóa để chiến thắng ung thư không chỉ nằm ở việc đi khám đúng lịch, mà còn phải chọn đúng công nghệ tầm soát cho từng bộ phận nhạy cảm trên cơ thể.
Ngoài ra, để bảo vệ sức khỏe bền vững, bạn nên duy trì lối sống lành mạnh, ăn uống cân bằng và tăng cường vận động thể chất. Hãy luôn lắng nghe những thay đổi nhỏ nhất của cơ thể, kiểm soát căng thẳng và ưu tiên thực hiện các gói kiểm tra chuyên sâu định kỳ để chủ động ngăn ngừa mọi nguy cơ bệnh tật từ sớm.
Nguồn và ảnh: QQ, Health GVM
Chiến My
