Sáng 18/11, báo Dân trí dẫn lời BSCKII Nguyễn Thắng Nhật Tuệ, Trưởng khoa Cấp cứu một bệnh viện ở TP.HCM thông tin, ông và các cộng sự vừa tiếp tục cấp cứu một trường hợp nguy kịch tại nhà, nhưng gia đình thử cứu chữa bằng phương pháp phản khoa học.
Bệnh nhân là người đàn ông tên N. (43 tuổi, ngụ TP.HCM, tên đã thay đổi). Theo lời kể của gia đình, trước đó người đàn ông đã một vài lần đi cấp cứu vì huyết áp cao.
Bệnh nhân đã được kê thuốc điều trị, nhưng uống một thời gian thấy khỏe lại ngưng thuốc. Máy đo tại nhà ghi nhận huyết áp cao, dù được người thân khuyên uống thuốc nhưng bệnh nhân vẫn không nghe.
Sáng 17/11, người vợ đợi mãi không thấy anh xuống nhà chở con đi học. Sốt ruột, chị chạy lên tìm thì thấy chồng nằm gục trong nhà vệ sinh, nên hốt hoảng gọi 115.
Đáng chú ý, trong lúc chờ xe cấp cứu, vợ anh N. cho chồng uống thuốc hạ áp và vắt chanh vào miệng để "cầu may".
Khi các nhân viên y tế đến, bệnh nhân đã trong tình trạng lơ mơ, còn đáp ứng đau nhưng liệt hoàn toàn bên trái, mất ngôn ngữ, huyết áp rất cao. Sau khi sơ cứu ổn định ban đầu, các y bác sĩ chuyển gấp người đàn ông đến bệnh viện.
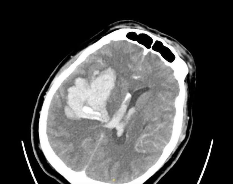
Hình ảnh phim chụp bệnh nhân bị xuất huyết não lượng lớn bán cầu phải. Ảnh: VietNamnet
Tại đây, ảnh chụp CT não cho thấy bệnh nhân bị xuất huyết não lớn, được đặt nội khí quản để bảo vệ đường thở và chuyển mổ cấp cứu.
"Trong lúc đặt ống nội khí quản, chúng tôi phải hút ra khá nhiều nước cốt chanh và cả bã thuốc còn đọng trong hầu họng, minh chứng việc gia đình đã cho bệnh nhân uống trong lúc lơ mơ. Đây là điều cực kỳ nguy hiểm", bác sĩ Tuệ chia sẻ.
Sau khi tổng hợp tất cả dữ liệu, nam bệnh nhân được chẩn đoán xuất huyết nội sọ, trên nền bệnh lý tăng huyết áp, hen suyễn. Người đàn ông được tiến hành phẫu thuật sọ não để xử lý tình trạng xuất huyết, hiện tại được điều trị, theo dõi sát tại khoa Hồi sức tích cực (ICU).
Theo báo VietNamnet, từ sự việc trên, bác sĩ Tuệ khuyến cáo 3 việc cần nhớ:
- Trường hợp của bệnh nhân N., thêm một lần cảnh báo rằng tăng huyết áp, đặc biệt ở người trẻ đang ngày càng phổ biến và nguy hiểm. Việc bỏ thuốc, tự xem nhẹ chỉ số huyết áp hoặc xử trí sai lúc cấp cứu có thể cướp đi cơ hội sống sót.
- Gọi cấp cứu 115 ngay, mở cửa nhà, dọn đường và theo dõi hô hấp tuần hoàn cho tới khi nhân viên y tế đến.
- Sơ cứu đột quỵ đúng cách: Nếu nghi ngờ người thân bị đột quỵ và rơi vào trạng thái hôn mê, sơ cứu phải hoàn toàn khác so với người còn tỉnh táo. Bệnh nhân hôn mê, không đáp ứng, cần đặt ở tư thế nằm nghiêng an toàn: Đầu thấp, miệng mở. Tư thế này giúp chất nôn hoặc đờm dãi thoát ra ngoài, tránh trào ngược vào đường thở gây suy hô hấp.
Khi bệnh nhân bất tỉnh, lơ mơ hoặc yếu liệt, tuyệt đối không cho uống bất cứ thứ gì, kể cả nước hay nước chanh. Điều này rất dễ gây sặc, tắc đường thở, khiến tình trạng nguy kịch hơn.
Trong thực tế, nhiều gia đình vẫn thực hiện các biện pháp dân gian như chích máu ở dái tai, nặn máu ở đầu ngón tay, ngón chân, bôi vôi vào lòng bàn tay, để bệnh nhân nằm bất động hàng giờ mà không đưa đến bệnh viện. Đây đều là các hành động phản khoa học, gây chậm trễ “thời gian vàng” cứu chữa, thậm chí cản trở quá trình điều trị do gây tổn thương thêm cho bệnh nhân.
Bác sĩ Tuệ cho biết thêm, nếu người nhà đã nghi ngờ đột quỵ, nguyên tắc bắt buộc là đưa bệnh nhân đến bệnh viện càng sớm càng tốt. Mỗi phút trôi qua, hàng triệu tế bào não bị tổn thương vĩnh viễn.
Trước đó vài ngày, một người đàn ông 52 tuổi ở TP.HCM cũng bất ngờ hôn mê tại nhà sau vài ngày có triệu chứng mệt. Thay vì gọi cấp cứu ngay, gia đình đã cố vắt chanh vào miệng với hy vọng bệnh nhân tỉnh lại. Nhưng việc này khiến người đàn ông khó thở nặng hơn, trì hoãn việc hồi sức cấp cứu.
Hậu quả là khi ê-kíp cấp cứu tiếp cận, bệnh nhân đã ngưng tim, ngưng thở, phù não nặng do thiếu oxy kéo dài, không còn khả năng cứu chữa.
