Hai tuần trước, ông T.L.Đ (52 tuổi, ở Hà Nội) đột ngột xuất hiện chóng mặt, mất thăng bằng, không đi lại loạng choạng, có buồn nôn, nôn 1 lần trong ngày đầu tiên xuất hiện triệu chứng; có cảm giác nặng nửa đầu phải. Tuy nhiên, không liệt vận động tứ chi, không có xoay tròn đồ vật xung quang, không đau đầu, không ù tai, không đau ngực, không khó thở, không ngất. Đo huyết áp tại nhà lúc xuất hiện triệu chứng vẫn trong giới hạn bình thường (120/80 mmHg).
Ông Đ. chủ quan nghĩ rằng đây là đợt rối loạn tiền đình thông thường nên đã điều trị 2 tuần theo hướng rối loạn chức năng tiền đình nhưng không đỡ. Do các triệu chứng không thuyên giảm, được người thân động viên, ông Đ. quyết định đi khám.
BS CKI Hoàng Anh Tuấn, Chuyên khoa Thần kinh, Phòng khám Đa khoa MEDLATEC Tây Hồ trực tiếp thăm khám, ghi nhận huyết áp 130/80mmHg, không sốt, khám thần kinh chỉ có Romberg (+), ngoài ra không có bất thường nào khác.
Mặc dù các biểu hiện khác không quá rõ rệt, nhưng với bệnh cảnh lâm sàng kéo dài kèm theo biểu hiện Romberg (+), bác sĩ chẩn đoán sơ bộ theo dõi rối loạn tiền đình trung ương/viêm gan B.
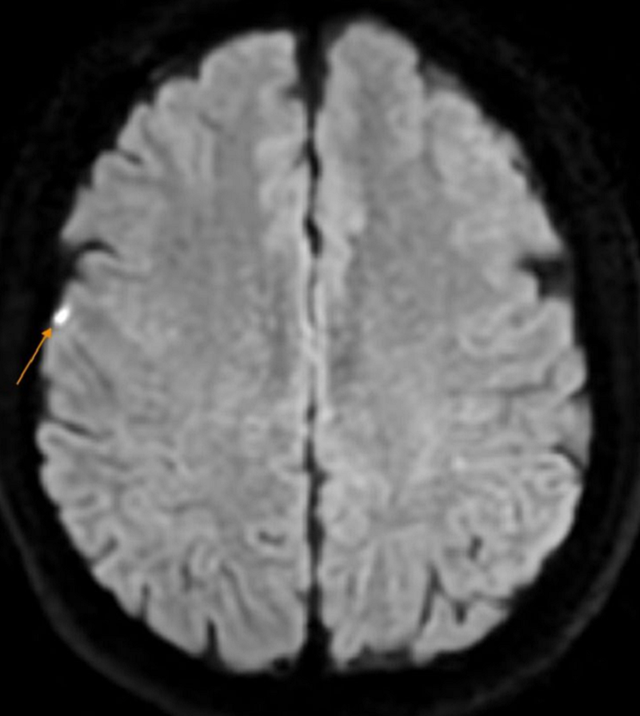
Để đi đến chẩn đoán xác định, bệnh nhân được chỉ định làm các xét nghiệm cận lâm sàng chuyên sâu, đáng lưu ý kết quả chụp MRI sọ não có hình ảnh tổn thương nhỏ vỏ não vùng đỉnh phải (theo dõi nhồi máu não): Thoái hóa myelin chất trắng dưới vỏ bán cầu đại não và quanh não thất bên hai bên (phân loại Fazekas độ 1); Thiểu sản động mạch não trước bên trái đoạn A1; Viêm xoang sàng hai bên.
BS Hoàng Anh Tuấn chia sẻ: Sau khi khám và làm các cận lâm sàng cần thiết có chẩn đoán xác định bệnh nhân bị nhồi máu não bán cấp/viêm gan B. Tuy nhiên, đây cũng là trường hợp may mắn phát hiện và điều trị kịp thời để tránh gây hậu quả nghiêm trọng như gây ảnh hưởng tới khả năng vận động, ngôn ngữ, nhận thức và thị giác của người bệnh.
Chóng mặt kéo dài, đừng chủ quan
Chóng mặt là tình trạng mất thăng bằng khiến bản thân có cảm giác quay cuồng, té ngã, hoặc cảm thấy như mọi thứ xung quanh đang xoay chuyển.
Theo BS bên cạnh nguyên nhân do căng thẳng, lo lắng, hạ đường huyết, tụt huyết áp… chóng mặt còn là nguyên nhân của các bệnh lý khác nhau gây nên, đó là các bệnh hay gặp như:
- Rối loạn tiền đình ngoại biên (thường nhẹ hơn): Viêm dây thần kinh tiền đình (do virus) B, bệnh Meniere (tăng áp lực nội dịch mê đạo, chóng mặt tư thế kịch phát lành tính (BPPV) - chóng mặt khi thay đổi tư thế như nằm xuống, quay đầu, nhiễm trùng tai trong.
- Rối loạn tiền đình trung ương: Tai biến mạch máu não (đột quỵ) vùng thân não - tiểu não, u não vùng tiểu não.
- Nguyên nhân tim mạch: Hạ huyết áp tư thế (đứng dậy đột ngột bị choáng), rối loạn nhịp tim, thiếu máu lên não do xơ vữa động mạch, suy tim.
- Nguyên nhân thần kinh: Thiếu máu não mạn tính, đau nửa đầu kiểu tiền đình, bệnh Parkinson, u não, viêm não, chấn thương sọ não.
- Nguyên nhân chuyển hóa - nội tiết: Hạ đường huyết (bỏ bữa, tiểu đường), thiếu máu (do thiếu sắt, chảy máu, phụ nữ rong kinh), suy giáp (thiếu hormone tuyến giáp), rối loạn điện giải (natri, kali...).
- Nguyên nhân tâm lý - lối sống: Căng thẳng, lo âu, trầm cảm, mất ngủ kéo dài…
- Tác dụng phụ của thuốc: Một số thuốc có thể gây chóng mặt như thuốc huyết áp, thuốc an thần, thuốc chống trầm cảm, thuốc lợi tiểu.
BS Hoàng Anh Tuấn cho biết, chóng mặt là triệu chứng hay gặp phổ biến khiến người dân dễ chủ quan, nếu không được phát hiện tìm nguyên nhân và điều trị kịp thời, bệnh có thể gây nên những biến chứng như:
- Biến chứng thường gặp nhất là té ngã, đặc biệt ở người lớn tuổi, dễ dẫn đến gãy xương hoặc chấn thương đầu.
- Nếu nguyên nhân là thiếu máu não hoặc rối loạn tiền đình, có thể dẫn đến suy giảm trí nhớ, mất thăng bằng mạn tính.
- Một số trường hợp chóng mặt là dấu hiệu sớm của tai biến mạch máu não, nếu không phát hiện sớm có thể dẫn đến liệt, nói ngọng, thậm chí tử vong.
- Bệnh Meniere hoặc viêm tai trong cũng có thể gây giảm thính lực vĩnh viễn.
Mặc dù là dấu hiệu hay gặp, nhưng người dân không nên chủ quan, bởi rất dễ bỏ sót bệnh lý nguy hiểm cấp tính nếu không khám đầy đủ chuyên khoa. Đặc biệt, qua trường hợp của ông Đ. BS khuyến cáo, nếu người dân xuất hiện bất cứ triệu chứng khác đi kèm ngoài chóng mặt, hoặc chóng mặt đơn thuần kéo dài trên 2 tuần nên đi khám chuyên khoa Thần kinh để tìm chính xác nguyên nhân và điều trị kịp thời, tránh biến chứng nguy hiểm.
Bạch Hoa
