Cô gái bị sốc phản vệ nặng khi đang phẫu thuật nâng mũi
Theo báo Sức Khỏe & Đời Sống, ngày 1/5, thông tin từ Bệnh viện Nhân dân Gia Định (TP.HCM) cho biết, đơn vị này vừa cứu sống thành công chị N.T.N (28 tuổi) bị sốc phản vệ nặng sau gây mê trong phẫu thuật thẩm mỹ nâng mũi.
Trước đó, ngày 22/4, chị N.T.N trải qua ca phẫu thuật nâng mũi tại Bệnh viện Thẩm mỹ T.. Gần cuối ca mổ, khi đang trong giai đoạn gây mê, chị N. đột ngột xuất hiện các dấu hiệu nguy kịch như: thở nhanh, co kéo cơ hô hấp, huyết áp tụt mạnh và độ bão hòa oxy máu giảm nghiêm trọng.
Nhận định đây là trường hợp sốc phản vệ nặng, ekip phẫu thuật lập tức xử trí theo phác đồ cấp cứu. Tuy nhiên, tình trạng sốc và suy hô hấp của người bệnh không cải thiện, buộc phải chuyển viện khẩn cấp đến Bệnh viện Nhân dân Gia Định.
Tại khoa Cấp cứu Bệnh viện Nhân dân Gia Định, các xét nghiệm sinh hóa và hình ảnh học nhanh chóng được thực hiện. Chị N. được chẩn đoán tổn thương đa tạng liên quan sốc phản vệ, trong đó tổn thương cơ tim và phổi (biểu hiện ARDS) là nghiêm trọng nhất.
Chỉ trong 30 phút, đội ngũ y bác sĩ khoa Hồi sức Tim mạch đã kịp thời can thiệp bằng kỹ thuật V-AV ECMO, một hình thức ECMO lai ghép tiên tiến, hỗ trợ đồng thời chức năng tim và phổi.
Sau 8 ngày, người bệnh được xuất viện với các chức năng tạng gần như trở lại bình thường. Ảnh: Sức Khỏe & Đời Sống
ThS.BS Võ Văn Trắng chia sẻ, ECMO (oxy hóa máu màng ngoài cơ thể) thường được thực hiện theo 2 phương thức: V-V ECMO (hỗ trợ phổi) hoặc V-A ECMO (hỗ trợ tim).
Trong trường hợp đặc biệt như chị N, khi người bệnh đồng thời bị sốc tim và tổn thương phổi nặng không đáp ứng với thông khí xâm lấn thông thường, V-AV ECMO là lựa chọn tối ưu. Đây là kỹ thuật phức tạp, đòi hỏi sự phối hợp nhịp nhàng và kinh nghiệm từ các thành viên ekip ECMO.
Sau 3 ngày can thiệp V-AV ECMO, tình trạng sốc tim và tổn thương cơ tim của chị N. được cải thiện rõ rệt, tổn thương phổi cũng dần phục hồi. Đến ngày thứ 4, người bệnh được ngưng ECMO và tiếp tục điều trị tích cực. Sau 8 ngày, chị N. được xuất viện với các chức năng tạng gần như trở lại bình thường.
Bác sĩ Trắng cho biết thêm, trong 2 năm qua, Bệnh viện Nhân dân Gia Định đã cứu sống 4 trường hợp suy đa tạng nghiêm trọng do sốc phản vệ hoặc ngừng tim bằng kỹ thuật V-AV ECMO.
Trong khi đó, TS.BS Giang Minh Nhật - Phó trưởng khoa Hồi sức Tim mạch Bệnh viện Nhân dân Gia Định thông tin, hầu hết các tổn thương cơ tim sau ngừng tim hay sốc phản vệ nặng có thể tự hồi phục trong vòng 48-72 giờ.
"Hỗ trợ tuần hoàn cơ học sớm khi có chỉ định để ổn định nhanh chóng huyết động và tưới máu tạng, điều chỉnh tích cực rối loạn chuyển hoá, kiểm soát thân nhiệt… là chìa khoá then chốt trong hồi sức các trường hợp suy đa tạng nặng do sốc phản vệ hay ngừng tim", bác sĩ Nhật cho hay.
Cứu bé 7 tuổi nguy kịch vì uốn ván
Báo Pháp Luật TP.HCM đưa tin, ngày 1/5, Bệnh viện Bệnh Nhiệt đới trung ương (Hà Nội) cho biết vừa tiếp nhận bệnh nhi 7 tuổi (ngụ Hà Giang) nhập viện trong tình trạng nguy kịch vì uốn ván.
Gia đình cho biết, 1 tuần trước nhập viện, bệnh nhi bị thanh gỗ mục đâm vào mu bàn chân trái. Gia đình chỉ sơ cứu tại chỗ, không phát hiện dị vật còn sót lại trong vết thương.
3 ngày sau, vết thương khô mặt, chỉ hơi tấy đỏ quanh vùng bị đâm nên gia đình cho rằng không có gì nghiêm trọng. Đến ngày thứ 6, bệnh nhi có biểu hiện mệt mỏi, đau mỏi cơ toàn thân, ăn uống kém. Sáng hôm sau, trẻ xuất hiện tình trạng cứng hàm, gồng cứng tay chân, co giật toàn thân.
Tại Bệnh viện Bệnh Nhiệt đới trung ương, bệnh nhi được chẩn đoán mắc uốn ván toàn thể, với đường xâm nhập từ vết thương ở chân.
Bệnh nhi đang được tiếp tục được theo dõi sát sao. Ảnh: Pháp Luật TP.HCM
Khi nhập viện, bệnh nhi rơi vào tình trạng nặng với suy hô hấp cấp, suy thận cấp, nước tiểu đỏ như máu, co giật toàn thân, môi tím tái. Ngay lập tức, trẻ được đặt nội khí quản để hỗ trợ thở máy, làm sạch vết thương và lấy ra một mảnh gỗ kích thước 1x0,3 cm còn găm sâu trong bàn chân.
Ths.Hà Việt Huy ở Trung tâm Hồi sức tích cực - Bệnh viện Bệnh Nhiệt đới trung ương, cho biết: “Trường hợp bệnh nhi diễn biến rất nhanh và nặng, thời gian ủ bệnh ngắn, triệu chứng khởi phát ồ ạt, co cứng cơ toàn thân, nguy cơ tử vong rất cao".
Hiện, bệnh nhi vẫn đang tiếp tục được theo dõi sát sao.
Ho, sốt kéo dài, đi khám phát hiện bị viêm phổi do phế cầu
Thời báo VTV đưa tin, bệnh nhân B.T.P.A (48 tuổi) đến khám tại Bệnh viện Đa khoa Medlatec sau khoảng hai tuần xuất hiện các triệu chứng như sốt nhẹ, ho khan, đau họng và chảy nước mũi. Trước đó, bệnh nhân đã được điều trị tại một phòng khám với chẩn đoán viêm mũi họng cấp và dùng hai đợt kháng sinh nhưng không có cải thiện.
Hai ngày trước khi nhập viện, tình trạng chuyển nặng rõ rệt: sốt cao đến 39 độ C, ho đờm vàng đặc, nghẹt mũi, tức ngực và khó thở. Bệnh nhân tự xét nghiệm cúm và COVID-19 tại nhà, kết quả đều âm tính.
Khi thăm khám tại bệnh viện, bệnh nhân tỉnh táo nhưng mệt mỏi, sốt 38 độ C, mạch nhanh (114 lần/phút), huyết áp 100/60 mmHg và nhịp thở 22 lần/phút. Bác sĩ ghi nhận phổi có ran ẩm, ran rít hai bên - dấu hiệu điển hình của nhiễm trùng hô hấp.
Tiền sử y khoa của bệnh nhân không ghi nhận bệnh mạn tính, ngoại trừ ca phẫu thuật cắt tử cung hoàn toàn vào năm 2018. Không ai trong gia đình có bệnh lý liên quan.
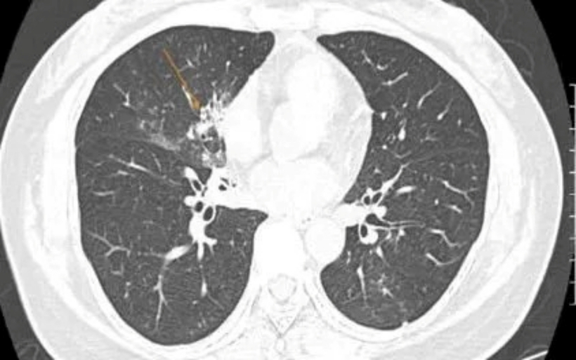
Hình ảnh chụp cắt lớp vi tính cho thấy đám đông đặc kèm kính mờ ở phổi. Ảnh: Thời báo VTV
Dưới chỉ định của bác sĩ CKII Hoàng Minh Toại - chuyên khoa hồi sức cấp cứu, bệnh nhân được thực hiện các xét nghiệm máu, vi sinh và chẩn đoán hình ảnh. Kết quả cho thấy bạch cầu tăng cao (22,52 G/L), chỉ số CRP tăng mạnh (148 mg/L), men gan tăng (AST: 237 U/L, ALT: 295 U/L).
Hình ảnh CT ngực phát hiện đám đông đặc kèm kính mờ ở thùy giữa phổi phải và thùy dưới phổi trái - tổn thương điển hình của viêm phổi nặng. Đồng thời, xét nghiệm PCR đờm và nuôi cấy vi sinh xác định tác nhân gây bệnh là Streptococcus pneumoniae - phế cầu khuẩn.
Sau khi xác định nguyên nhân, bệnh nhân được điều trị nội trú bằng kháng sinh đặc hiệu, thuốc long đờm và hỗ trợ chức năng gan. Phác đồ điều trị được xây dựng dựa trên kết quả vi sinh - đảm bảo tính chính xác, tránh lạm dụng kháng sinh phổ rộng.
Sau hai ngày điều trị, bệnh nhân hết sốt, giảm tức ngực, lượng đờm giảm đáng kể. Sau một tuần, tình trạng ổn định, không còn khó thở hay sốt, chỉ còn ho khan nhẹ.
Ca bệnh này cho thấy tầm quan trọng của việc không chủ quan trước các triệu chứng ho, sốt thông thường, và nhấn mạnh vai trò của xét nghiệm vi sinh trong điều trị kháng sinh chính xác, hiệu quả.
